Diagnostic value of carcinoembryonic antigen, cancer antigen 15-3, and cell-free DNA as blood biomarkers in early detection of canine mammary tumor
DOI:
https://doi.org/10.33393/jcb.2025.3564Keywords:
CA15-3, CEA, cfDNA, Cytology, Histopathology, Mammary gland tumorsAbstract
Introduction: Blood biomarkers play a crucial role in the diagnosis and prognosis of tumor. The present research
was designed to study the diagnostic effect of serum biomarkers, namely carcino-embryonic antigen (CEA), cancer
antigen 15-3 (CA15-3), and plasma biomarker viz., circulating cell-free DNA (cfDNA); and their correlation with
cytological and histopathological results.
Methods: A total of 60 blood samples were collected. Out of which 36 samples were from the dogs affected with
canine mammary tumors, and 24 samples were from the apparently healthy dogs. CEA and CA15-3 were estimated
using Sandwich ELISA, and cfDNA was estimated by the ccfDNA kit. A significant Positive correlation was
observed between tumor blood biomarker levels, cytology and histopathological grades of the tumors.
Results: We found that CA15-3 can be a more effective serum tumour biomarker than CEA for diagnosing canine
mammary gland tumours. This finding showed a positive correlation with the clinical grade of the disease. The
concentration of serum markers and cfDNA in animals affected with malignant mammary gland tumours was
higher compared to the benign entity of tumours and healthy control groups. The ROC curve analysis revealed
that the sensitivity (Se) and specificity (Sp) of CEA and CA15-3 biomarkers improved when used together. IN
comparison to healthy controls, canines with both benign and malignant neoplasia showed significantly higher
(p < 0.05) cfDNA concentrations.
Conclusion: This study highlights the role of blood tumor biomarkers for routine screening of animals in early
diagnosis of tumors, further treatment, and prognosis.
Introduction
Cancer is the most common ailment and the leading cause of death in aged canines and humans despite advances in cancer therapies (1). According to the World Health Organization, cancer was responsible for nearly one in six deaths globally in 2020, underscoring its status as a major health burden for both humans and animals. Among the various types of cancer, breast cancer is one of the most commonly diagnosed malignancies in women, with its incidence continuing to rise due to a combination of genetic predispositions and environmental influences (2). Similarly, in female dogs, canine mammary gland tumours (CMTs) represent the second most common cause of tumour-related mortality, with fatality rates ranging from 50% to 75%, depending on the tumour type, stage of disease, and the treatment regimen employed (3). Notably, Canine mammary gland tumours (CMTs) exhibit significant morphological, behavioural, and genetic similarities to human breast cancer, making dogs a valuable comparative model for studying the disease in terms of diagnosis, prognosis, and therapeutic intervention (4). Early detection of cancer is critical for improving survival outcomes. Tumour markers have emerged as vital tools in the early screening, prognostication, and monitoring of therapeutic responses in malignancies (5). These biomarkers may be produced directly by tumour cells or elicited in the host as a response to tumour presence. An ideal tumour marker is characterized by high sensitivity and specificity, enabling the accurate detection of malignancy at an early stage to facilitate timely clinical intervention and enhance screening efficacy (6). Carcino-embryonic antigen (CEA) is a glycoprotein expressed in the gastrointestinal mucosa and in low concentrations in epithelial cell membranes. It is markedly overexpressed in various malignancies, including those of the colon, breast, and lung (7). CEA contributes to intercellular adhesion and is clinically valuable in cancer diagnosis, staging, recurrence detection, and the monitoring of therapeutic responses, particularly during chemotherapy (8). Cancer antigen 15-3 (CA15-3) is a mucinous glycoprotein that belongs to the MUC1 family. During malignant transformation, CA15-3 is overexpressed on the cell membrane and in the cytoplasm. In this state, MUC1 can function as an anti-adhesive molecule, promoting tumour cell detachment, invasion, and metastasis (9). Additionally, circulating cell-free DNA (cf-DNA), which consists of extracellular nucleic acid fragments released by tumour cells through apoptosis, necrosis, or active secretion, holds promise as a minimally invasive biomarker for early cancer detection. Under physiological conditions, cf-DNA levels remain low, but they increase significantly in various pathological states, including inflammation, diabetes, and cancer (10). The aim of this study is to evaluate the diagnostic and prognostic potential of the combined detection of blood-based biomarkers—CEA, CA15-3, and cf-DNA—in canine mammary gland tumours. This combinatorial approach is expected to enhance sensitivity and specificity in early diagnosis and case prognosis.
Materials and Methods
Sample Collection
Samples for this prospective study were collected during the period from January 2024 to October 2024 from the animals presented at the Veterinary Clinical Complex, Pandit Deen Dayal Upadhyaya Pashu Chikitsa Vigyan Vishwavidyalaya Evam Go-Anusandhan Sansthan, Mathura (DUVASU), Mathura, UP, India. A total of sixty blood samples of dogs were collected with the owner’s consent. Out of these, thirty-six are from dogs affected with canine mammary tumours, and twenty-four were from healthy dogs. The study was approved by the Institutional Animal Ethics Committee, DUVASU, Mathura, India, with certification No. IAEC/22/2/4 and letter No. 145/IAEC/24/1/27, dated 05-03-2024. All selected cases subjected to a thorough clinical examination and owner’s contact information; age, sex; breed and body weight of animals; location of the lesion(s); number of mammary glands involved; size of the affected gland; colour, texture, and consistency of the neoplastic growth; duration of the illness; history of prior inflammation or injury; history of parity and spaying were recorded. Ultrasonographic and/or radiographic examinations carried out to determine the spread of tumour to distance lymph nodes and visceral organs. Out of 36 selected neoplastic cases, 31 cytology, 36 serum, 36 plasma, and 21 tissue samples were obtained for examinations (Table 1).
| Case No. | Breed | Age | Body wt. | No. of glands affected | Gland effected | Size (cm) | Consistency |
|---|---|---|---|---|---|---|---|
| 1. | Labrador | 11 yrs. | 41 Kg | 2 | Right inguinal & right caudal abdominal | 5−6 cm | Hard |
| 2. | Rottweiler | 4 yrs. | 36 Kg | 4 | Left & right Inguinal | 4−5 cm | Soft |
| Left & right caudal abdominal | 2−3 cm | ||||||
| 3. | Beagle | 8 yrs. | 11 Kg | 2 | Left & right Inguinal | 6−7 cm | Soft |
| 4. | German Shepherd | 9 yrs. | 39 Kg | 1 | Left caudal abdominal | 4−5 cm | Semi-hard |
| 5. | German Shepherd | 12 yrs. | 42 Kg | 2 | Left & right caudal thoracic | 12−13 cm | Semi-hard |
| 6. | Rottweiler | 9 yrs. | 45 Kg | 1 | Left inguinal | 4−5 cm | Semi-hard |
| 7. | Indian Spitz | 11 yrs. | 10 Kg | 1 | Left inguinal | 7−8 cm | Semi-hard |
| 8. | Pomeranian | 9 yrs. | 6 Kg | 1 | Right inguinal | 9−10 cm | Soft |
| 9. | Indian Spitz | 11 yrs. | 9 Kg | 1 | Left inguinal | 5−6 cm | Soft |
| 10. | German Shepherd | 3 yrs. | 38 Kg | 1 | Left cranial abdominal | 4−5 cm. | Semi-hard |
| 11. | Indian Spitz | 10 yrs. | 8 Kg | 1 | Right inguinal | 5−6 cm. | Hard |
| 12. | Labrador | 2.5 yrs. | 41 Kg | 1 | Left inguinal | 7−8 cm. | Semi-hard |
| 13. | German Shepherd | 3 yrs. | 41 Kg | 1 | Left caudal abdominal | 5−7 cm. | Semi-hard |
| 14. | Labrador | 4 yrs. | 46 Kg | 1 | Left inguinal | 7−8 cm. | Hard |
| 15. | Non-descript | 12 yrs. | 36 Kg | 1 | Left inguinal | 2−3 cm. | Semi-hard |
| 16. | German Shepherd | 6 yrs. | 47 Kg | 2 | Right inguinal & caudal abdominal | 15−18 cm. | Semi-hard to hard |
| 17. | German Shepherd | 9 yrs. | 38 Kg | 2 | Left & right inguinal | 9−10 cm. | Soft |
| 18. | German shepherd | 10 yrs. | 43 Kg | 1 | left inguinal | 8−9 cm. | Semi-hard |
| 19. | Indian Spitz | 8 yrs. | 10 Kg | 1 | Right cranial abdominal | 2−3 cm. | Soft |
| 20. | German shepherd | 6 yrs. | 44 Kg | 2 | Left cranial abdominal | 7−8 cm. | Semi-hard |
| 21. | Pomeranian | 5 yrs. | 8 Kg | 1 | Right inguinal | 5−6 cm. | Hard |
| 22. | Pomeranian | 8 yrs. | 9 Kg | 1 | Left inguinal | 8−9cm. | Semi-hard |
| 23. | Non-descript | 8 yrs. | 42 Kg | 2 | Left inguinal & caudal abdominal | 6−7 cm. | Semi-hard |
| 24. | Non-descript | 7 yrs. | 21 Kg | 2 | Right inguinal & caudal abdominal | 10−11 cm. | Semi-hard |
| 25. | German shepherd | 9 yrs. | 40 Kg | 1 | Right caudal abdominal | 3−4 cm. | Soft |
| 26. | Rottweiler | 4 yrs. | 32 Kg | 1 | Left inguinal | 6−7 cm. | Soft |
| 27. | Non-descript | 8 yrs. | 19 Kg | 1 | Right cranial thoracic | 5−6 cm. | Hard |
| 28. | Non-descript | 13 yrs. | 39 Kg | 1 | Right caudal thoracic | 4−5 cm. | Semi-hard |
| 29. | Great dane | 1.5 yrs. | 34 Kg | 1 | Right cranial thoracic | 7−8 cm. | Soft |
| 30. | Rottweiler | 8 yrs. | 42 Kg | 1 | Left cranial thoracic | 5−7 cm | Soft to semi-hard |
| 31. | Non-descript | 8 yrs. | 37 Kg | 1 | Left cranial abdominal | 3−4 cm | Soft |
| 32. | Rottweiler | 8 yrs. | 41 Kg | 2 | Left & right caudal abdominal | 8−9 cm | Semi-hard |
| 33. | Labrador | 10 yrs. | 46 Kg | 1 | Right cranial abdominal | 3−4 cm | Semi-hard |
| 34. | Non-descript | 7 yrs. | 17 Kg | 4 | Right & left caudal thoracic | 7−8 cm | Semi-hard |
| Left cranial & caudal abdominal | 2−3 cm | ||||||
| 35. | Pomeranian | 7 yrs. | 9 Kg | 1 | Left inguinal | 4−5 cm | Soft to semi-hard |
| 36. | German shepherd | 9 yrs. | 65 Kg | 2 | Right inguinal & caudal abdominal | 13−15 cm | Semi-hard |
Blood collection
Peripheral blood samples were aseptically collected from the cephalic or saphenous vein of dogs using sterile, single-use 5 mL vacutainer tubes. A total of 4 mL of blood was collected from each subject, divided equally between two vacutainers depending on the intended analysis. For cfDNA quantification, 2 mL of blood was drawn into an EDTA-coated vacutainer to prevent clotting. The sample was gently inverted several times to ensure proper mixing with the anticoagulant. These samples were processed immediately. Plasma was separated by centrifugation at 3500 × g for 10 minutes at room temperature. The supernatant (plasma) was carefully aspirated and transferred into a sterile, labelled plain 2 mL micro-centrifuge tube. Plasma samples were stored at −80°C until cfDNA extraction. cfDNA was isolated using the QIAamp MinElute ccfDNA Mini Kit (QIAGEN, Germany; Catalogue No. 55204). For estimation of serum tumour biomarkers— CEA and CA15-3, an additional 2 mL of blood was collected into plain vacutainer tubes without anticoagulant. These samples were allowed to clot at room temperature, and the serum was separated out after clotting of the blood. The resulting serum was transferred to labelled sterile 2 mL micro-centrifuge tubes and stored at −80°C until further analysis. CEA concentrations were measured using a canine-specific Carcinoembryonic Antigen ELISA Kit (Bioassay Technology Laboratory, Shanghai, China; Catalogue No. E0157Ca), while CA15-3 levels were determined using a Canine Carbohydrate Antigen 15-3 ELISA Kit (Bioassay Technology Laboratory, Shanghai, China; Catalog No. E0156Ca). All plasma and serum samples were appropriately labelled with animal identification, date of collection, and sample type, and stored at −80°C until further use.
Fine needle aspiration cytology (FNAC)
Prior to sampling, strict aseptic protocols were followed. The overlying skin of the affected mammary gland region was clipped and cleansed thoroughly using sterile gauze swabs soaked in 70% isopropyl alcohol. The area was allowed to air-dry to ensure complete disinfection and reduce the risk of contamination during aspiration. Fine needle aspiration (FNA) was performed using a 22-gauge sterile needle attached to a 5 mL disposable syringe. The needle was carefully inserted percutaneously into the mammary gland mass, targeting the central region of the growth. Multiple passes (2-3) were made in different directions within the same insertion site to ensure representative sampling of the lesion. Negative pressure was applied gently to aspirate cellular material into the syringe. Care was taken to minimize blood contamination and ensure adequate cellularity. Upon obtaining the aspirate, the needle was detached from the syringe, and a small volume of air was drawn into the syringe. The needle was then re-attached, and the aspirated material was expelled onto a clean, dry, grease-free glass microscope slide. Using another slide, a thin smear was prepared. The prepared smears were stained with Giemsa stain following standard cytological staining protocols. Stained slides were then examined under a light microscope for cytomorphological evaluation of the neoplastic cells. Parameters such as cellularity, nuclear pleomorphism, chromatin pattern, nucleolar prominence, mitotic activity, and cytoplasmic features were assessed. Cytological grading of the mammary tumor was conducted based on the criteria outlined in Robinson’s grading system, which provides a standardized method for classifying canine mammary tumours according to cytological features indicative of tumour aggressiveness and malignancy (11).
Histopathology
This technique is considered a gold standard for determining the changes in tissue and identification of tumour types, and the grade of malignancy. Tissue samples obtained from the mammary gland masses were immediately fixed in 10% neutral buffered formalin (NBF) for a minimum of 24 to 48 hours to ensure optimal preservation of cellular and tissue morphology. Following fixation, tissues were subjected to standard histological processing, which involved dehydration through a graded series of ethanol (70%, 80%, 95%, and absolute), clearing in xylene, and embedding in paraffin wax. Paraffin-embedded tissue blocks were sectioned at a thickness of 4-5 µm using a rotary microtome. Sections were mounted onto clean, albumin-coated glass slides and allowed to dry, followed by deparaffinization in xylene and rehydration through a descending alcohol series (absolute, 95%, 70%) to distilled water. The slides were then stained with Harris’s Hematoxylin for 5-10 minutes to visualize nuclear detail, followed by rinsing in running tap water. Differentiation was performed using 1% acid alcohol. Subsequently, slides were counterstained with Eosin Y for 1-2 minutes to stain the cytoplasm and extracellular matrix. Finally, the stained sections were dehydrated through ascending grades of alcohol, cleared in xylene, and mounted with a coverslip using a resinous mounting medium. The prepared slides were then examined under a light microscope for histopathological evaluation of tumor architecture and cellular characteristics (12). The histopathological sections were then analyzed and classified based on the criteria established by Goldschmidt et al. (13), classification criteria, and histopathological grading of CMTs based on the Elston and Ellis system of classification (14).
Statistical Analysis
Statistical analysis was performed using SPSS 27.0 software. A general linear model of one-way ANOVA based on Fisher’s Least Significant Difference method was used, and significant values were further analyzed using Duncan’s Multiple Range Test. Results are expressed as mean ± standard error (SE). Statistical significance was set at p < 0.05, while p < 0.01 was considered highly significant.
The sensitivity, specificity, and accuracy of tumour markers in the diagnosis of canine mammary gland tumours are as follows:
Sensitivity = (True positive/True positive + False negative)
Specificity = (True negative/True negative + False positive)
Accuracy = (True positive + True negative)/(True positive + True negative + False positive + False negative)
The boundary value of the tumour markers is defined by the method of the receiver operating characteristic curve of the subject, or ROC curve. The higher the area under the curve (AUC), the higher the diagnostic value. Accuracy reaches its highest when AUC > 0.9. Specificity and sensitivity of tumour markers in canine mammary gland tumours evaluated using the ROC curve. The area under the curve (AUC) 1.0 is considered the ideal index. There is no diagnostic value if AUC < 0.5.
Results
Epidemiological characteristics of mammary gland tumours in dogs
A total of eight dog breeds with mammary gland tumours were included, and the results showed that German Shepherds had the highest incidence of canine mammary tumours (27.77%), with pure breeds being the most affected. Animals older than seven years of age were frequently affected. The 7-12 years age group had the highest incidence of tumours (19/36 – 52.7%). In comparison to the anterior pairs of mammary glands, the posterior pairs had a higher frequency of tumors, inguinal (47.06%), caudal abdominal (25.49%), cranial abdominal (11.76%), caudal thoracic (9.80%), and cranial thoracic (5.89%) glands were involved in decreasing order. Only four animals (11%) out of the 36 animals in the current study had undergone spaying.
Cytology
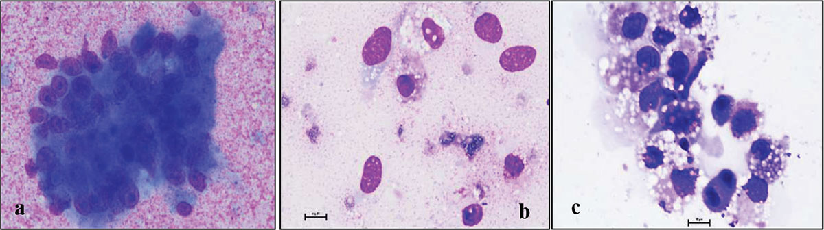
Based on cytology, tumours classified as grade 1 were deemed benign, whereas grade 2 or 3 were deemed malignant (15). The maximum sample was from the grade II category (65%) (Fig. 1b), followed by grade I (29%) (Fig. 1a) and then grade III (6%) (Fig. 1c). A total of 31 samples were graded out of which 22 are of epithelial origin and nine are of mesenchymal origin.
Histopathology
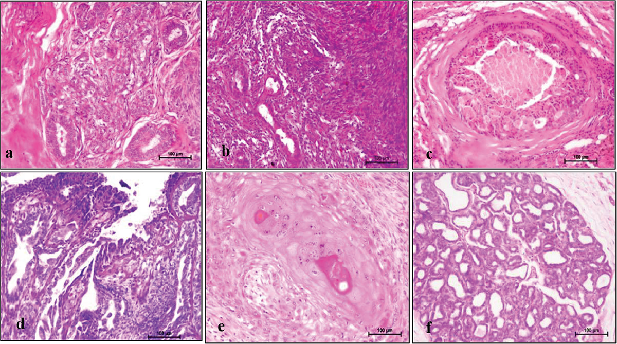
In the present study, 81% of tumours were classified as malignant, while 19% as benign on histopathology. The most common type of malignant mammary tumours was carcinoma mixed type accounted for 20% of malignant tumours (Fig. 2a), whereas the most common type of benign tumor was fibroadenoma accounted for 50% of all benign tumours (Fig. 2b). The other common tumors are shown in Figures 2c, d, and e. The normal histological structure of the canine mammary gland is shown (Fig. 2f). On the basis of grading, 80% of tumors belonged to the grade II category.
Level of CEA, CA15-3, and cfDNA biomarkers
Results showed that the serum levels of CEA and CA15-3 in the malignant group were significantly higher than the healthy controls (p < 0.05) (Figs 3a and b). cfDNA level in plasma of malignant mammary gland tumour group was also significantly higher than that of benign mammary gland tumour group and healthy control group (p < 0.05) (Fig. 3c). Univariate analysis showed that serum CA15-3, CEA, and plasma cfDNA concentrations were significantly Higher in dogs with lymph node invasion, metastasis, and histologic grading (Table 2).
Sensitivity, specificity of single and combined detections of CA15-3, CEA, and cfDNA
The individual detection sensitivity for tumour biomarkers revealed that circulating free DNA (cfDNA) had the highest sensitivity at 78.9%, followed by CA15-3 and CEA, with sensitivities of 70.3% and 65.2%, respectively (Table 3). Similarly, cfDNA demonstrated the highest specificity (72.7%), whereas CA15-3 and CEA showed lower specificities of 56.5% and 43.2%, respectively. When the three biomarkers—CA15-3, CEA, and cfDNA—were used in combination, the sensitivity and accuracy increased to 80.0% and 78.0%, respectively, surpassing the diagnostic performance of any individual biomarker. However, the specificity of the combined detection (68.0%) was lower than that of cfDNA alone. These findings indicate that the combined detection of CA15-3, CEA, and cfDNA improves overall diagnostic performance and may serve as a more effective approach for the diagnosis of canine mammary gland tumours compared to single biomarker detection.
FIGURE 1 -. Cytological observation of different mammary gland tumours in dogs (Geimsa Stain, 1000X). (a) Mildly pleomorphic cells arranged in clusters, Grade I; (b) singly arranged cells with vacuolated cytoplasm, Grade II; (c) Mixed population of pleomorphic cells showing karyokinesis stage, Grade III.
FIGURE 2 -. Histopathological observation of different mammary gland tumours in dogs (HE Staining, 200X). (a) Carcinoma Mixed Type; (b) Fibroadenoma; (c) comedocarcinoma; (d)tubulo-papillary carcinoma; (e) squamous cell carcinoma; (f) Healthy mammary gland.
| GROUPS | CEA (ng/L) | CA15-3 (kU/L) | CfDNA concentration (ng/µL) | |||
|---|---|---|---|---|---|---|
| Mean ± SE | 95%CI | Mean ± SE | 95% CI | Mean ± SE | 95% CI | |
| CONTROL | 610.29±40.69a | 520.73-699.85 | 1.49 ± 0.14a | 1.17-1.82 | 4.667±0.4851a | 3.599-5.734 |
| BENIGN | 690.95±74.88ab | 518.26-863.64 | 2.74 ± 0.38b | 1.86-3.62 | 8.089±0.2756b | 7.453-8.724 |
| MALIGNANT | 899.60±70.69bc | 753.00-1046.20 | 3.85 ± 0.21c | 3.41-4.29 | 14.900±0.6040c | 13.647-16.153 |
| METASTATIC | 1199.64±235.64d | 450.03-1949.24 | 5.57 ± 1.13d | 1.95-9.19 | 25.775±1.914d | 19.682-31.868 |
FIGURE 3 -. Expression levels of CEA, CA15-3 in serum and cfDNA in plasma of canine mammary tumor. (a) Serum CEA levels of the malignant tumor group, the benign tumor group, and the healthy control group. (b) Serum CA15-3 levels of the three groups. (c) Plasma cfDNA levels of the three groups. Note: *p < 0.05 showed a significant difference, **p < 0.01 showed an extremely significant difference.
| Tumor Markers | Sensitivity (%) | Specificity (%) | Accuracy (%) |
|---|---|---|---|
| CEA | 65.2 | 43.2 | 51.6 |
| CA15-3 | 70.3 | 56.5 | 65.0 |
| cfDNA | 78.9 | 72.7 | 76.6 |
| CEA + CA15-3 | 79.4 | 65.4 | 73.3 |
| CEA+ CA15-3+ cfDNA | 80.0 | 68.0 | 78.0 |
Determination of the area under the ROC of CA15-3, CEA after single and combined detection
In order to assess the value of tumor markers in the diagnosis of canine mammary gland tumors (CMGTs), a receiver operating characteristic (ROC) curve was used and determine the area under the curve (AUC). According to Table 4 and Figures 4a to c, each tumour marker demonstrated diagnostic significance for canine mammary gland tumours, with all AUC values exceeding 0.5. Among the individual markers, CA15-3 showed the highest diagnostic accuracy (AUC = 0.823), followed by CEA (AUC = 0.756). When the two serum tumour markers were combined (CEA + CA15-3), the diagnostic performance further improved, yielding the highest AUC value (AUC = 0.875). Overall, the combined detection of biomarkers provided a significantly higher diagnostic accuracy compared to the use of individual markers.
| Tumor Markers | AUC | p-value | 95% CI |
|---|---|---|---|
| CEA | 0.756 | <0.05 | 0.613-0.899 |
| CA15-3 | 0.823 | <0.05 | 0.706-0.939 |
| CEA + CA15-3 | 0.875 | <0.05 | 0.806-0.945 |
Discussion
Cancer remains a major cause of mortality in both humans and canines, with mammary gland tumors being the most frequently diagnosed neoplasms in female dogs. Early detection of these tumours significantly improves prognosis and survival rates. The current study focused on evaluating the diagnostic potential of serum biomarkers—carcinoembryonic antigen (CEA) and cancer antigen 15-3 (CA15-3)—and plasma cell-free DNA (cfDNA), in relation to cytological and histopathological findings in canine mammary gland tumors (CMTs).
Breed distribution in our study varied, reflecting geographical differences in breed predisposition. Purebred dogs showed a higher incidence of mammary tumours, suggesting a genetic component in tumour susceptibility (16,17). Cytological grading revealed that benign tumours were more common in dogs aged 5-7 years, while malignant tumours peaked between 8-12 years, supporting the hypothesis that age-related accumulation of tumorigenic factors may contribute to malignancy (17,18). The caudal mammary glands were more frequently affected than the cranial glands, with a higher incidence on the right side of the body. This may be due to the larger size and increased hormonal sensitivity of the caudal glands, particularly to estrogen, making them more prone to proliferative changes (19). Fine needle aspiration cytology (FNAC) was used for sample collection, with most tumours (65%) falling into grade II (17,20,21). While cytology and histopathology remain gold standards for tumour classification, they require skilled personnel, invasive tissue sampling, and can be time-consuming and costly. In contrast, serum and plasma-based biomarkers such as CEA, CA15-3, and cfDNA offer a less invasive, quicker, and potentially more cost-effective alternative. CEA levels were significantly elevated in malignant tumours (22), particularly those with lymph node involvement, larger size, and distant metastasis (23,24). Conversely, no significant difference was detected between the benign and healthy control group (25). A notable decline in CEA levels post-mastectomy suggests its potential role as a marker for early detection of relapse or metastasis. However, CEA alone is not highly specific, as some malignant cases may not exhibit elevated levels, and no significant difference was noted between benign tumors and healthy controls (24). CA15-3 levels were also significantly higher in dogs with larger, metastatic tumours and higher histopathological grades (26). This marker, a member of the mucin family that detects soluble MUC-1 protein, plays a key role in tumour progression by promoting angiogenesis, immune evasion, and resistance to apoptosis (23). Like CEA, CA15-3 alone lacks high specificity, and some tumours may not express it in detectable amounts. Importantly, the combination of CEA and CA15-3 significantly improved diagnostic sensitivity and specificity compared to individual markers (25). This suggests that these biomarkers may reflect different biological characteristics or stages of tumour development. For instance, some tumours may express high levels of CEA but low CA15-3, or vice versa. By utilizing both markers, clinicians can improve the overall diagnostic accuracy and capture a broader spectrum of tumour profiles (27). Despite this, it is essential to acknowledge that even in combination, these biomarkers are not highly specific and should not be solely relied upon for definitive diagnosis (28). Furthermore, cfDNA levels were significantly higher in malignant and metastatic cases compared to benign and healthy controls (29,30). The elevated cfDNA in metastatic cases is likely due to increased cell turnover, necrosis, and release of fragmented DNA from aggressive tumour cells (31,32). In human oncology, cfDNA has emerged as a promising non-invasive biomarker for early detection, prognosis, and monitoring of treatment response. Unlike tissue-based diagnostics, which require skilled personnel and are costly and time-consuming, these serum and plasma markers can be detected using routine blood tests. Although individually not highly specific, their combined use significantly improves diagnostic sensitivity. Early detection through these markers can reduce the high costs associated with late-stage cancer treatment by enabling timely intervention. In veterinary medicine, its application as a “liquid biopsy” holds promise for reducing the reliance on invasive procedures, thereby lowering the overall cost and improving the accessibility of cancer diagnostics. Compared to cytology and histopathology, the detection of serum and plasma biomarkers is generally more accessible and less expensive, especially in settings where advanced histopathological infrastructure is limited. Blood-based testing also reduces the need for anesthesia, surgical intervention, and repeat sampling, thus minimizing patient discomfort and veterinary costs. Although these biomarkers lack the diagnostic precision of histopathology, their integration into routine screening protocols could facilitate earlier detection, guide treatment planning, and monitor disease progression more effectively. While cytology and histopathology remain indispensable for definitive tumour characterization, the use of serum CEA, CA15-3, and plasma cfDNA as adjunct diagnostic tools offers a promising, minimally invasive, and cost-effective strategy for early detection and monitoring of canine mammary tumors. Their combined application improves diagnostic sensitivity and may reduce treatment costs through early intervention and reduced reliance on invasive diagnostics. Although CEA, CA15-3, and cfDNA are not individually highly specific markers for cancer, numerous studies support their combined utility in enhancing early detection of tumours, especially in breast and gastrointestinal cancers. The rationale is based on the concept that multi-marker approaches improve diagnostic performance by compensating for the limitations of single markers. Each marker reflects different aspects of tumour biology. CEA is a glycoprotein involved in cell adhesion and is frequently elevated in colorectal, breast, and lung cancers. CA15-3, a mucin-type glycoprotein, is predominantly associated with tumour burden in breast cancer. cfDNA consists of short DNA fragments released into the circulation from apoptotic and necrotic tumour cells and can harbour tumour-specific genetic and epigenetic alterations, including point mutations, methylation patterns, and copy number variations. When assessed in combination, these biomarkers offer complementary information: CEA and CA15-3 reflect protein-level changes related to tumour burden and inflammatory processes, while cfDNA provides molecular insights at the genomic level. This multi-analyte approach has been shown to improve early detection capabilities. Therefore, despite their individual limitations in specificity, the combined use of CEA, CA15-3, and cfDNA increases diagnostic yield through the integration of diverse biological signals, supporting their utility as part of a comprehensive biomarker panel for early tumour detection.
FIGURE 4 -. The ROC curve of single and combined detection in the diagnosis of canine mammary gland tumor. (a) The ROC curves for the single detection of CEA. (b) The ROC curves for the single detection of CA15-3. (c) The ROC curves of the combined detection of CA15-3+CEA.
Conclusion
CA15-3 demonstrated superior diagnostic performance compared to CEA and may be considered a more reliable tumour marker for the detection of mammary gland tumours. Its levels showed a strong positive correlation with tumour progression and clinical staging, highlighting its potential utility in both diagnosis and disease monitoring. The combined use of CA15-3 and CEA resulted in improved sensitivity and specificity compared to either marker alone, indicating that their combined assessment may facilitate earlier detection and improve prognostic evaluation. Elevated serum levels of CA15-3 and CEA, as well as increased concentrations of circulating cell-free DNA (cfDNA) in plasma, were significantly associated with decreased survival rates, suggesting their prognostic value. Fluctuations in plasma cfDNA and serum biomarker levels appear to reflect tumour burden and may indicate the presence of cancer-specific genetic alterations. Thus, these biomarkers serve as valuable tools for monitoring tumour dynamics. Given that liquid biopsy is a minimally invasive diagnostic approach, the routine evaluation of cfDNA, CA15-3, and CEA offers a promising strategy for the early detection and prognosis of canine mammary tumours. When compared with cytological findings and histopathological (HP) examination—the current gold standards in cancer diagnosis—liquid biopsy-based tumour marker assessment offers a non-invasive alternative with the potential for real-time monitoring. Incorporating serum biomarkers and cfDNA analysis into routine clinical practice could facilitate early detection, improve treatment planning, and aid in monitoring therapeutic response, thereby improving clinical outcomes.
Other information
Corresponding author:
Neeraj Kumar Gangwar
email: neerajgangwarvet@gmail.com
Acknowledgment
We thank Veterinary Pathology Laboratory, Veterinary Clinical Complex, and the authority of Veterinary University, Mathura-281001, Uttar Pradesh, India, for great support in completing the research study, and all the animals and animal owners involved in the study.
This is the final version of record of this article as stated in https://doi.org/10.33393/jcb.2025.3657
Disclosures
Conflict of interest: The authors declare that they have no potential conflicts of interest.
Funding statement: This research received no specific grant from any funding agency in the public, commercial, or not-for-profit sectors.
Ethical approval: Ethical approval for this study was obtained from the Institutional Animal Ethics Committee (IAEC), having Certification No. IAEC/22/2/4 and Letter No. 145/IAEC/24/1/27.
Author’s contribution: Conceptualization: DS, NKG; Data curation: DS, PPR, MGG; Formal analysis: JKC; Investigation: DS, SM, SK; Methodology: KG, SNP, RS; Project Administration: DDS, NKG, SC; Resources: DDS, NKG; Supervision: DDS; Validation: NKG; Writing—original draft: DS, KG; Writing—review & editing: NKG, SNP, RS.
References
- Reif J. The epidemiology and incidence of cancer. In: Withrow SJ, Vail DM, Page RL, eds. Withrow & MacEwen's Small Animal Clinical Oncology. 5th ed. Saunders Elsevier; 2007;68-76. https://doi.org/10.1016/B978-072160558-6.50007-1 DOI: https://doi.org/10.1016/B978-072160558-6.50007-1
- Bray F, McCarron P, Parkin DM. The changing global patterns of female breast cancer incidence and mortality. Breast Cancer Res. 2004;6(6):229-239. https://doi.org/10.1186/bcr932 PMID:15535852 DOI: https://doi.org/10.1186/bcr932
- Matos AJ, Baptista CS, Gärtner MF, et al. Prognostic studies of canine and feline mammary tumours: the need for standardized procedures. Vet J. 2012;193(1):24-31. https://doi.org/10.1016/j.tvjl.2011.12.019 PMID:22296767 DOI: https://doi.org/10.1016/j.tvjl.2011.12.019
- Gray M, Meehan J, Martínez-Pérez C, et al. Naturally-occurring canine mammary tumours as a translational model for human breast cancer. Front Oncol. 2020;10:617. https://doi.org/10.3389/fonc.2020.00617 PMID:32411603 DOI: https://doi.org/10.3389/fonc.2020.00617
- Das S, Dey MK, Devireddy R, et al. Biomarkers in cancer detection, diagnosis, and prognosis. Sensors (Basel). 2024;24(1):37. https://doi.org/10.3390/s24010037 DOI: https://doi.org/10.3390/s24010037
- Amayo AA, Kuria JG. Clinical application of tumour markers: a review. East Afr Med J. 2009;86(12)(suppl):S76-S83. https://doi.org/10.4314/eamj.v86i12.62909 PMID:21591514 DOI: https://doi.org/10.4314/eamj.v86i12.62909
- Shao Y, Sun X, He Y, et al. Elevated levels of serum tumour markers CEA and CA15-3 are prognostic parameters for different molecular subtypes of breast cancer. PLoS One. 2015;10(7):e0133830. https://doi.org/10.1371/journal.pone.0133830 PMID:26207909 DOI: https://doi.org/10.1371/journal.pone.0133830
- Wu SG, He ZY, Zhou J, et al. Serum levels of CEA and CA15-3 in different molecular subtypes and prognostic value in Chinese breast cancer. Breast. 2014;23(1):88-93. https://doi.org/10.1016/j.breast.2013.11.003 PMID:24291374 DOI: https://doi.org/10.1016/j.breast.2013.11.003
- Manuali E, De Giuseppe A, Feliziani F, et al. CA15-3 cell lines and tissue expression in canine mammary cancer and the correlation between serum levels and tumour histological grade. BMC Vet Res. 2012;8(1):86. https://doi.org/10.1186/1746-6148-8-86 PMID:22726603 DOI: https://doi.org/10.1186/1746-6148-8-86
- Heitzer E, Haque IS, Roberts CES, et al. Current and future perspectives of liquid biopsies in genomics-driven oncology. Nat Rev Genet. 2019;20(2):71-88. https://doi.org/10.1038/s41576-018-0071-5 PMID:30410101 DOI: https://doi.org/10.1038/s41576-018-0071-5
- Robinson IA, McKee G, Nicholson A, et al. Prognostic value of cytological grading of fine-needle aspirates from breast carcinomas. Lancet. 1994;343(8903):947-949. https://doi.org/10.1016/S0140-6736(94)90066-3 PMID:7909010 DOI: https://doi.org/10.1016/S0140-6736(94)90066-3
- Luna LG. Histologic staining methods of the Armed Forces Institute of Pathology. 3rd sed. McGraw-Hill Book Co; 1972:12-17.
- Goldschmidt M, Peña L, Rasotto R, Zappulli V. Classification and grading of canine mammary tumors. Vet Pathol. 2011;48(1):117-131. https://doi.org/10.1177/0300985810393258 PMID:21266722 DOI: https://doi.org/10.1177/0300985810393258
- Peña L, De Andrés PJ, Clemente M, et al. Prognostic value of histological grading in noninflammatory canine mammary carcinomas in a prospective study with two-year follow-up: relationship with clinical and histological characteristics. Vet Pathol. 2013;50(1):94-105. https://doi.org/10.1177/0300985812447830 PMID:22688585 DOI: https://doi.org/10.1177/0300985812447830
- Dolka I, Czopowicz M, Gruk-Jurka A, Wojtkowska A, Sapierzyński R, Jurka P. Diagnostic efficacy of smear cytology and Robinson's cytological grading of canine mammary tumors with respect to histopathology, cytomorphometry, metastases and overall survival. PLoS One. 2018;13(1):e0191595. https://doi.org/10.1371/journal.pone.0191595 PMID:29360854 DOI: https://doi.org/10.1371/journal.pone.0191595
- Nithya P, Vairamuthu S, Balachandran C. Factors influencing the occurrence of mammary gland tumours in dogs. Indian J Vet Pathol. 2018;42(4):249-253. https://doi.org/10.5958/0973-970X.2018.00058.5 DOI: https://doi.org/10.5958/0973-970X.2018.00058.5
- Schwartz SM, Urfer SR, White M, et al. Lifetime prevalence of malignant and benign tumours in companion dogs: cross-sectional analysis of Dog Aging Project baseline survey. Vet Comp Oncol. 2022;20(4):797-804. https://doi.org/10.1111/vco.12839 DOI: https://doi.org/10.1111/vco.12839
- Pastor N, Caballé NC, Santella M, et al. Epidemiological study of canine mammary tumours: age, breed, size and malignancy. Austral J Vet Sci. 2018;50(3):143-147. https://doi.org/10.4067/S0719-81322018000300143 DOI: https://doi.org/10.4067/S0719-81322018000300143
- Salas Y, Márquez A, Diaz D, et al. Epidemiological study of mammary tumors in female dogs diagnosed during the period 2002-2012: a growing animal health problem. PLoS One. 2015;10(5):e0127381. https://doi.org/10.1371/journal.pone.0127381 DOI: https://doi.org/10.1371/journal.pone.0127381
- Phukan JP, Sinha A, Deka JP. Cytological grading of breast carcinoma on fine needle aspirates and its relation with histological grading. South Asian J Cancer. 2015;4(01):032-034. https://doi.org/10.4103/2278-330X.149948 DOI: https://doi.org/10.4103/2278-330X.149948
- Pal S, Gupta ML. Correlation between cytological and histological grading of breast cancer and its role in prognosis. J Cytol. 2016;33(4):182-186. https://doi.org/10.4103/0970-9371.190449 PMID:28028331 DOI: https://doi.org/10.4103/0970-9371.190449
- Jain M, Ingole SD, Deshmukh RS, et al. CEA, CA15-3, and miRNA expression as potential biomarkers in canine mammary tumors. Chromosome Res. 2021;29(2):175-188. https://doi.org/10.1007/s10577-021-09652-7 PMID:33638118 DOI: https://doi.org/10.1007/s10577-021-09652-7
- Pinheiro BQ, da Silva IN, Faustino AM, et al. The prognostic value of serum neoplastic biomarkers CA15-3 and CEA in canine mammary neoplasms: a review. Rev Bras Reprod Anim. 2022;46(3):290-297. https://doi.org/10.21451/1809-3000.RBRA2022.021 DOI: https://doi.org/10.21451/1809-3000.RBRA2022.021
- Senhorello ILS, Terra EM, Sueiro FAR, et al. Clinical value of carcinoembryonic antigen in mammary neoplasms of bitches. Vet Comp Oncol. 2020;18(3):315-323. https://doi.org/10.1111/vco.12552 PMID:31664787 DOI: https://doi.org/10.1111/vco.12552
- Fan Y, Ren X, Liu X, et al. Combined detection of CA15-3, CEA, and SF in serum and tissue of canine mammary gland tumor patients. Sci Rep. 2021;11(1):6651. https://doi.org/10.1038/s41598-021-85029-4 PMID:33758208 DOI: https://doi.org/10.1038/s41598-021-85029-4
- Kaszak I, Witkowska-Piłaszewicz O, Domrazek K, et al. The novel diagnostic techniques and biomarkers of canine mammary tumors. Vet Sci. 2022;9(10):526. https://doi.org/10.3390/vetsci9100526 PMID:36288138 DOI: https://doi.org/10.3390/vetsci9100526
- Stieber P, Nagel D, Blankenburg I, et al. Diagnostic efficacy of CA15-3 and CEA in the early detection of metastatic breast cancer—a retrospective analysis of kinetics on 743 breast cancer patients. Clin Chim Acta. 2015;448:228-231. https://doi.org/10.1016/j.cca.2015.06.022 PMID:26160053 DOI: https://doi.org/10.1016/j.cca.2015.06.022
- Valencakova-Agyagosova A, Frischova Z, Sevcikova Z, et al. Determination of carcinoembryonic antigen and cancer antigen (CA15-3) in bitches with tumours on mammary gland: preliminary report. Vet Comp Oncol. 2014;12(3):205-214. https://doi.org/10.1111/j.1476-5829.2012.00353.x PMID:22947252 DOI: https://doi.org/10.1111/j.1476-5829.2012.00353.x
- Khurram I, Khan MU, Ibrahim S, et al. Efficacy of cell-free DNA as a diagnostic biomarker in breast cancer patients. Sci Rep. 2023;13(1):15347. https://doi.org/10.1038/s41598-023-42726-6 PMID:37715016 DOI: https://doi.org/10.1038/s41598-023-42726-6
- Pushpanjali P, Keshari JR, Prakash P, et al. Correlation between circulating cell-free DNA levels and breast cancer subtypes: a prospective observational study. Cureus. 2023;15(7):e42247. https://doi.org/10.7759/cureus.42247 PMID:37605702 DOI: https://doi.org/10.7759/cureus.42247
- Kim J, Bae H, Ahn S, et al. Cell-free DNA as a diagnostic and prognostic biomarker in dogs with tumours. Front Vet Sci. 2021;8:735682. https://doi.org/10.3389/fvets.2021.735682 PMID:34604371 DOI: https://doi.org/10.3389/fvets.2021.735682
- Panagopoulou M, Esteller M, Chatzaki E. Circulating cell-free DNA in breast cancer: searching for hidden information towards precision medicine. Cancers (Basel). 2021;13(4):728. https://doi.org/10.3390/cancers13040728 PMID:33578793 DOI: https://doi.org/10.3390/cancers13040728




