Ravulizumab in treatment-naïve patients with atypical hemolytic uremic syndrome: a real-world case series
DOI:
https://doi.org/10.33393/dti.2025.3616Keywords:
Atypical hemolytic uremic syndrome, Diagnosis, Ravulizumab, Thrombotic microangiopathy, TreatmentAbstract
Introduction: Atypical hemolytic uremic syndrome (aHUS) is a potentially life-threatening condition associated
with poor clinical outcomes if not treated adequately. Eculizumab has become the standard of care, whereas
ravulizumab, a second-generation, high-affinity complement C5 inhibitor, demonstrates comparable efficacy
in improving renal function, hematological markers, and dialysis rates. In addition, ravulizumab offers practical
advantages, including a longer dosing interval and immediate, complete, and sustained inhibition of free C5,
making it a valuable therapeutic option.
Methods: Given the limited real-world experience with ravulizumab, we present a case series of six treatmentnaïve
aHUS patients who received ravulizumab as first-line therapy.
Results: These cases include one pregnancy-related aHUS, one postpartum case, one related to a urinary tract
infection, one associated with hypertension, one with a pneumonia-related trigger, and one kidney transplant
patient with a prior verotoxin-producing E. coli infection. Altogether, these cases illustrate the challenges in diagnosing aHUS. The choice to administer ravulizumab as first-line treatment was sometimes made in the presence of a clear clinical suspicion, even when not all minor criteria seemed to confirm the diagnosis. In most patients, renal function improved rapidly after ravulizumab administration, followed by recovery of hematological parameters, which were stable in the longer term. As improvements remained sustained over time, the possibility of discontinuing ravulizumab can be evaluated on a case-by-case basis.
Conclusion: These cases highlight the importance of early diagnosis, prompt intervention, and multidisciplinary
care in managing aHUS. Ravulizumab as first-line therapy proved effective and well-tolerated, with sustained
clinical improvements observed across diverse real-world scenarios.
Introduction
Atypical hemolytic uremic syndrome (aHUS) is a rare form of thrombotic microangiopathy (TMA) that is characterized by thrombocytopenia, microangiopathic hemolytic anemia, and renal impairment (1,2). In addition, extrarenal manifestations are recognized in up to 20% of cases, involving the central nervous system, lungs, peripheral vasculature, cardiovascular system, skeletal muscle, and gastrointestinal tract (3). The incidence of aHUS is around 0.23-0.42 cases per million (4).
The complement system is an important part of innate immune defense, and aHUS results from an acute, uncontrolled activity of the alternative complement pathway, leading to endothelial cell dysfunction and formation of microvascular thrombi (5,6). Genetic abnormalities in the complement pathway may be in the form of rare variants in complement genes or autoantibodies against specific complement factors (7). In particular, uncontrolled complement activation is caused by gain-of-function variants in complement activation factors (CFB and C3) or loss-of-function variants in complement regulatory proteins (CFH, CFHR3, MCP, and CFI) (8). Genetic or acquired dysregulation of the alternative complement pathway is seen in 40–60% of patients with aHUS, which indicates genetic predisposition in many patients (1,3).
Although many variants are implicated in its pathogenesis, the development of aHUS is multifactorial. While an individual may carry a mutation, a trigger (or second-hit) is needed for aHUS to occur (1,2). Such triggers include pregnancy, viral infection, cancer, organ transplantation, and use of certain medications (9). In particular, pregnancy-associated aHUS accounts for about 10-20% of all diagnosed aHUS (10) and post-kidney transplant aHUS for about 10% (9).
It is important to recognize that aHUS remains a clinical diagnosis (11) and, if untreated, a potentially life-threatening condition associated with poor clinical outcomes, high morbidity and mortality, and irreversible renal failure (1,2). In fact, before the availability of effective therapy, one study reported that 56% of adults with aHUS progressed to end-stage renal disease (ESRD) or death within 1 year (4). Plasma exchange was historically the therapy of choice, although in the last decade, due to a greater understanding of complement biology, a complement-inhibiting drug, eculizumab, has become the new standard of care (6,12). This humanized monoclonal antibody binds to the C5 protein in the complement system, preventing the formation of the terminal complement complex C5b-9 and thereby effectively inhibiting cellular hemolysis and autoimmune reactions. The efficacy and safety of treating aHUS with eculizumab are well documented and have become the standard of care (13).
More recently, ravulizumab, a second-generation, specific, high-affinity complement C5 inhibitor, has been developed (14). Ravulizumab was approved by the FDA and EMA for aHUS in 2020. Both eculizumab and ravulizumab are well tolerated and have comparable efficacy in improving renal function, hematological markers, and rates of dialysis (15). However, ravulizumab appears to have several advantages over eculizumab, which include a longer dosing interval (8 weeks vs. 2 weeks) and immediate, complete, and sustained inhibition of free C5 (16). These advantages may be associated with improved quality of life (QoL) for patients and caregivers (6,17,18). However, it has been noted that comparison of ravulizumab and eculizumab is limited by major differences in the characteristics of patients included in the three largest studies with these agents (19). In particular, patients enrolled in the ravulizumab trial were, on average, older and showed a low frequency of complement gene variants, which may not be fully representative of the overall aHUS population. Moreover, the endpoints differed between studies, further limiting the possibility of direct comparison (19,20).
Despite its promising benefits, ravulizumab is a relatively new agent, and there are few reports of clinical experience with the drug in real-world settings (21,22). Herein, we present a real-world case series of 6 treatment-naïve aHUS patients who were treated with ravulizumab. We also include data on its efficacy during the acute phase, which was not addressed in Phase III trials due to their study design.
Case presentations
The following six cases of patients with aHUS were collected from participating centers. In all cases, ravulizumab was administered according to approved clinical practice. The therapeutic regimen included a weight-based intravenous loading dose, followed by the first maintenance dose 14 days later, and subsequent maintenance doses every 8 weeks thereafter. All patients were vaccinated against Neisseria meningitidis at least two weeks prior to the first dose of ravulizumab, unless the urgency of treatment outweighed the risk of delaying therapy. Patients who initiated ravulizumab less than two weeks after meningococcal vaccination received appropriate antibiotic prophylaxis until two weeks after vaccination (23).
At our centers, the choice between ravulizumab and eculizumab is patient-specific, guided by internal hospital protocols and in line with international recommendations (6,24).
Case #1
A 38-year-old woman, without chronic disease, was admitted to the Emergency Room at the 25th week of her second pregnancy. The patient complained of abdominal pain and intermittent fever for 3 days (max 40.3°C) that did not respond to paracetamol. Placental abruption was diagnosed due to the onset of profuse metrorrhagia, and the patient was submitted to an emergency C-section with delivery of a dead fetus. A Bakri balloon was inserted in the uterine cavity to achieve hemostasis. Following a sudden worsening of hemodynamic parameters, the patient was admitted to the Intensive Care Unit, needing blood transfusion and treatment with noradrenaline.
Blood tests showed thrombocytopenia (50,000/mm3), Coombs-negative, normochromic normocytic anemia (Hb, hemoglobin, 7.5 g/dL), increased lactate dehydrogenase (LDH), indirect bilirubin of 1.12 mg/dL, reticulocytes of 7.71%, undetectable haptoglobin, white blood cells 5130/mm3 with neutrophilia (91%), and increased D-dimer (33,650 ng/mL). Other coagulation test abnormalities showed prolonged prothrombin time and partial thromboplastin time, low fibrinogen, increased serum creatinine (sCr; 1.48 mg/dL), and blood urea nitrogen (BUN; 36 mg/dL). A pregnancy-specific disseminated intravascular coagulation (DIC) score (i.e., fibrinogen concentration, prothrombin time, and platelet count) was used to diagnose DIC, and treatment with fresh frozen plasma, antithrombin III, and prothrombin complex was administered after multidisciplinary consultation.
CT angiography excluded the presence of pulmonary embolism and showed pulmonary infiltrates associated with pleural effusion, while the kidneys were of regular size with reduced bilateral parenchymal and excretory function due to renal damage. Empirical antibiotic therapy with cefazolin was given. Coagulation tests normalized rapidly, but sCr continued to increase, which was associated with oliguria and metabolic acidosis. Continuous renal replacement therapy was started without heparin and citrate, due to contraindications.
Hemolytic anemia and thrombocytopenia persisted, whereas coagulation tests were in the normal range. A peripheral blood smear to evaluate bicytopenia showed schistocytes. Together, these results were indicative of a TMA. Plasma ADAMTS13 activity was normal, neurological symptoms were absent, the patient had no recent history of diarrhea, and E. coli was not detected in stool. Thus, TTP and typical HUS were ruled out. The absence of autoantibodies excluded autoimmune disease, and the persistent hemolytic anemia, thrombocytopenia, and renal failure led to a suspicion of aHUS. Ravulizumab was then started as per the protocol described above (first dose 2700 mg; after two weeks, 3300 mg), in association with vaccination for pneumococcus.
The patient’s clinical conditions, hemodynamic parameters, and laboratory markers gradually improved, except for anuria and renal function, and the Nephrology Department was consulted since the patient needed to continue hemodialysis. After 2 weeks, the patient was taken to the cardiac intensive care unit for the sudden onset of respiratory failure, chest pain, and rapid worsening of left ventricular ejection fraction (LVEF, 35% on echocardiogram).
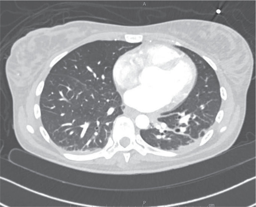
Pulmonary CT showed massive pulmonary infiltrates with pleural and pericardial effusion (Fig. 1), and sputum was positive for E. coli, E. gallinarum, and Influenza A virus. ECG and troponin levels excluded acute coronary syndrome. Non-invasive ventilation and directed antimicrobial therapy were promptly started, and a session of continuous venovenous hemofiltration in combination with CytoSorb led to clinical improvement, with reduction of inflammatory markers, normalization of cardiac and pulmonary function, and induction of diuresis.
FIGURE 1 -. Pulmonary CT scan in patient #1 showing pericardial and bilateral pleural effusion and multiple areas of ground-glass type parenchymal consolidation.
The patient was then transferred to the Nephrology unit, where she gradually suspended hemodialysis. After a few days, she was discharged with a diagnosis of chronic kidney disease (CKD) (eGFR 22 mL/min/1.73 m2) and an indication to receive ravulizumab every 8 weeks. At the 6-month follow-up visit, the patient was in good clinical condition, asymptomatic, maintaining the same stage of CKD, and with no other laboratory or radiological abnormalities. Blood parameters during treatment with ravulizumab are shown in Table 1. Genetic tests were negative for complement mutations known to be related to aHUS. A final dose of ravulizumab was planned for the patient, after 12 months of treatment, with close specialist outpatient follow-up.
Case #2
A 21-year-old woman with no history of pathology presented to the Emergency Room for profuse diarrhea, reduced diuresis, and the appearance of edema in the lower limbs. Four days earlier, she had delivered her first child with no complications. The patient presented with sensorium intact, BP 185/90 mmHg, no visible bleeding, and mild dyspnea at rest. Chest X-ray showed thickening of lung tissue in the right medio-basal segment with a thickened appearance of the ipsilateral hilar region. Echocardiography indicated volume overload with moderate hemodynamic repercussions (ejection fraction 50%), without evidence of severe ventricular dysfunction or structural abnormalities of cardiac valves. Abdominal ultrasound showed bilateral pleural effusion, which was larger on the right with a thin layer of peritoneal fluid. Renal color Doppler showed kidneys of normal size, with normal cortical thickness and echogenicity, no urinary tract dilation, good vascularization, and both renal arteries and veins well visualized. Laboratory tests revealed severe anemia (hemoglobin 6.8 g/dL), thrombocytopenia (192,000/µL), and hemolysis with markedly increased LDH (1866 IU/L), low haptoglobin (0.07 g/L), and a negative Coombs test. ADAMTS13 activity was normal. Renal function was severely compromised, with serum creatinine of 11 mg/dL, urea of 233 mg/dL, and anuria (~100 mL/24h). Inflammatory markers were elevated, with ferritin of 1734 ng/mL and CRP of 108 mg/L. Immunological screening revealed weakly positive antinuclear antibodies (ANA) (1:160, granular pattern), negative antineutrophil cytoplasmic antibodies (ANCA) and extractable nuclear antigens (ENA), normal immunoglobulin levels, normal complement fractions, and negative lupus anticoagulant (LAC) and antiphospholipid antibodies. Shiga toxin testing was negative. Lymphocyte subsets were normal, and the peripheral smear showed rare schistocytes. Due to severe renal impairment and fluid overload with reduced urine output, urgent dialysis was indicated after placement of a femoral central venous catheter. Blood transfusions were administered.
All data were consistent with a clinical diagnosis of aHUS, and therapy with ravulizumab was initiated as per the protocol described above (2700 mg first dose; 3300 mg maintenance dose). Improvement in hemoglobin was seen at around 3 days after starting ravulizumab (last transfusion required for Hb <7.5 g/dL on 3 days after the first infusion, with progressive improvement). Diuresis resumed immediately, while renal function improved after about 5 days, with a gradual reduction in sCr, resulting in suspension of dialysis.
Upon discharge, one month later, sCr was 2.8 mg/dL, BUN 57 mg/dL, Hb 11.9 mg/dL, platelets (PLT) 223,000, and haptoglobin and LDH were within normal limits, with efficient diuresis, proteinuria 240 mg/24 h, ANA negative, and complement system within normal limits. Genetic testing after the second dose revealed the presence of a genetic variant [c.2383G>A (p.Gly795Arg)] in the CFH gene. Early diagnosis and prompt initiation of ravulizumab therapy led to optimal recovery of renal function and restoration of hematological parameters. The treatment was well tolerated, and the 8-week dosing interval allowed for maintenance of high QoL.
| Parameter | 24 hours | 48 hours | 1 month | 1.5 months | 3 months | 6 months |
|---|---|---|---|---|---|---|
| sCr (mg/dL) | 3.25 | 3.7 | 4.33 | 2.67 | 2.7 | 2.71 |
| eGFR (mL/min) | 17 | 15 | 12 | 22 | 21 | 21 |
| BUN (mg/dL) | 95 | 118 | 149 | 153 | 105 | 108 |
| Total bilirubin (mg/dL) | 2.14 | 1.83 | 0.74 | 0.54 | 0.49 | 0.52 |
| Direct bilirubin (mg/dL) | 1.12 | 0.91 | 0.22 | 0.14 | 0.08 | 0.10 |
| Indirect bilirubin (mg/dL) | 1.02 | 0.92 | 0.52 | 0.40 | 0.41 | 0.42 |
| LDH (IU/l) | 3608 | 3324 | 500 | 525 | 271 | 270 |
| Hb (g/dL) | 8.1 | 7.7 | 11.7 | 12 | 11.9 | 11.2 |
| WBC (x 103/µL) | 29.99 | 30.71 | 7.61 | 7.27 | 5.6 | 4.96 |
| Neutrophils (x103/µL) | 26.2 | 26.69 | 5.17 | 4.88 | 3.23 | 3.13 |
| PLT (x103/µL) | 21 | 32 | 285 | 263 | 333 | 212 |
| PT (sec) | 13.6 | 14.1 | 16.8 | 13.6 | 13.5 | 13.9 |
| PTT (sec) | 22.3 | 22.4 | 24.1 | 23.6 | 26 | 24.7 |
| Fibrinogen (mg/dL) | 409 | 394 | 111 | 265 | 257 | 281 |
| Haptoglobin (mg/dL) | N.A. | N.A. | 69.6 | 180 | 167 | 111 |
| D-dimer (ng/mL) | 2484 | N.A. | 1584 | N.A. | N.A. | N.A. |
Case #3
A 38-year-old woman presented to the Emergency Room with nausea, vomiting, diarrhea, severe hypertension (200/115 mmHg), and headache. She reported a recent course of therapy with amoxicillin/clavulanic acid for a urinary tract infection (UTI) due to E. coli. Her medical history included a diagnosis of HELLP syndrome (Hemolysis, Elevated Liver enzymes, Low Platelet count) during pregnancy two years prior in 2021. Laboratory investigations at admission revealed neutrophilic leukocytosis, anemia (Hb 7.6 g/dL), thrombocytopenia (PLT 29,000/μL), and acute kidney injury (sCr 4 mg/dL). After admission, further testing revealed azotemia (110 mg/dL), hyperbilirubinemia (2.33 mg/dL), and markedly elevated LDH (2894 IU/L). Inflammatory markers and arterial blood gas were within normal limits.
The patient was transferred to the Internal Medicine and Vascular Unit with a suspected diagnosis of aHUS; stool cultures and Shiga-like toxin were negative. Laboratory findings included a haptoglobin level of 2 mg/dL, and ADAMTS13 activity was 91.3%. Urinalysis revealed proteinuria (300 mg/dL), hematuria (0.20 mg/dL), and numerous red blood cells in sediment. She was administered a brief cycle of corticosteroids and underwent one session of plasmapheresis. Plasmapheresis was performed as an emergency measure due to the unavailability of complement inhibitors. Corticosteroids were likely given to address thrombocytopenia, although the exact rationale for these treatments cannot be confirmed, as the patient was initially admitted to another ward.
Given the clinical situation and the suspected diagnosis of aHUS, ravulizumab was administered (2700 mg) as per the protocol described above. Laboratory analysis performed on the day of treatment administration showed Hb 8.2 g/dL, PLT 34,000/μL, azotemia 150 mg/dL, sCr 5.78 mg/dL, proteinuria 8.25 g/24h, and low C3 (81 mg/dL; reference range 90-180 mg/dL).
Due to acute kidney injury (AKI), the patient was transferred to the Nephrology department. The patient never required hemodialysis, but received three separate red cell concentrate transfusions on days 1, 3, and 8 after the first infusion of ravulizumab. Antihypertensive therapy with amlodipine and ramipril was initiated, resulting in optimal blood pressure.
Following the first infusion of ravulizumab and consecutive doses, significant improvements in blood parameters were observed (Table 2). Further investigations revealed that the patient carries a heterozygous missense variant [c.3356A>G (p.Asp1119Gly)] in the CFH gene, classified as pathogenic. Anti-FH antibodies were negative (11 AU/mL). Induction therapy with ravulizumab, followed by maintenance infusions, enabled the patient to obtain an age-appropriate lifestyle and resume normal work and family activities.
Case #4
A 49-year-old woman presented to the Emergency Department with complaints of asthenia, nausea, and vomiting. Upon evaluation, she exhibited severe hypertension (200/100 mmHg), anemia (Hb 8.6 g/dL), thrombocytopenia (PLT 63,000/μL), and elevated sCr (3.88 mg/dL). Her medical history was significant for breast carcinoma and a surgically treated cerebral aneurysm following an episode of headache in 2019. In 2022, she was diagnosed with acute iron-deficiency anemia, likely secondary to menometrorrhagia, requiring blood transfusions. At that time, laboratory investigations revealed sCr of 0.7 mg/dL, hemoglobin 5.9 g/dL, and blood pressure of 170/100 mmHg.
Given the patient’s present laboratory findings (Hb 7.7 g/dL, PLT 111,000/μL, LDH 626 IU/L) and persistent renal impairment, she was transferred to the Internal Medicine Unit and subsequently to the Nephrology Unit. Peripheral blood smear revealed the absence of schistocytes and the presence of platelet aggregates. ADAMTS13 was mildly reduced (62%), the Coombs test was negative, and complement levels (C3, C4) were within normal range. A comprehensive autoimmune, endocrine, and imaging work-up (including ANA, ANCA, anti-PLA2R, PET-CT, and bone scan) was unremarkable.
The patient underwent two blood transfusions for severe anemia. After excluding other causes of TMA, a first ravulizumab infusion was administered as per the protocol described above, with a planned dose of 2400 mg and a maintenance dose of 3000 mg. Following the placement of a central venous catheter, she initiated replacement hemodialysis. Data on changes in blood parameters are shown in Table 3. A slow acute renal response was noted, whereas the hematologic response was considerably more rapid.
After 6 months, sCr had decreased to 2.9 mg/dL and remained stable at one year (2.59 mg/dL). Genetic analysis was negative. In this patient, ravulizumab improved symptoms and complications due to CKD, leading to less frequent follow-up and a better overall QoL, with no side effects.
Case #5
A 16-year-old girl weighing 29 kg with psychomotor retardation, spasticity, and a congenital solitary kidney, presented to the Emergency Room after being transferred from another hospital for acute renal failure, suspected to be associated with aHUS. Two days earlier, she had visited the Emergency Room with symptoms of drowsiness and hyperglycemia. At previous discharge, the patient had acute renal failure (sCr 5.2 mg/dL) and fever (39°C). She had been treated with intravenous hydration. Despite medical intervention, renal function progressively deteriorated. Additional findings included anemia, thrombocytopenia, positive Coombs test, absence of visible bleeding, lower extremity edema, and mild dyspnea at rest. Laboratory tests upon admission showed Hb 8.7 g/dL, PLTs 141,000 /μL, LDH 633 IU/L, sCr 5.98 mg/dL, BUN 199 mg/dL, anuria, normal aspartate aminotransferase (AST) / alanine aminotransferase (ALT) / gamma-glutamyl transferase (GGT), normal protein electrophoresis, total bilirubin 0.31 mg/dL, prothrombin time in normal range, normal activated partial thromboplastin time (aPTT), fibrinogen 419 mg/dL, and C-reactive protein (CRP) 31 mg/L.
Due to severe renal impairment and the state of overload with reduction in diuresis, urgent dialysis was started following placement of a central venous catheter. Blood transfusions were administered. The next day, the patient had hemoptysis and hematemesis with vomiting, for which she underwent CT angiography and gastroscopy. CT angiography showed bilateral pleural effusion, with lamellar consolidation of the bilateral dorsal basal parenchyma. Areas of parenchymal hyperdensity were observed with acinar involvement affecting both upper lobes. The right kidney was increased in volume, with reduced contrast enhancement and failure to excrete iodinated urine. Gastroscopy revealed bile material mixed with blood at the bottom of the stomach. The mucosa of the gastric fundus was hyperemic. No obvious lesions or hemorrhagic sources were identified.
| Parameter | Day 3 | Day 5 | Day 7 | Day 10 | Week 7 | 6 months |
|---|---|---|---|---|---|---|
| Hb (g/dL) | 7.8 | 7.9 | 7.4 | 7.9 | 11.4 | 13.0 |
| Platelets (μL) | 91,000 | 149,000 | 176,000 | 222,000 | 356,000 | 349,000 |
| sCr (mg/dL) | 6.72 | 5.43 | 4.70 | 2.85 | 0.81 | 0.88 |
| BUN (mg/dL) | 175 | 149 | 113 | 76 | 47 | 29 |
| LDH (IU/mL) | 1542 | 1038 | 780 | 550 | 194 | 182 |
| Haptoglobin (mg/dL) | 1 | 3 | 3 | 3 | 68 | 104 |
| Parameter | 48 h after 1st infusion | 13 days after 1st infusion | 20 days after 1st infusion | 21 days after 1st infusion | 22 days after 1st infusion | 24 h after 2nd infusion | 72 h after 2nd infusion |
|---|---|---|---|---|---|---|---|
| sCr (mg/dL) | 6.18 | 5.25 | 4.83 | N.A. | 4,48 | 4.70 | 4.27 |
| LDH (IU/L) | 140 | 185 | 259 | N.A. | 423 | 405 | 441 |
| Hb (g/dL) | 10.3 | 9.2 | 7.9 | 9.6 | N.A. | 10.0 | 11.4 |
| Platelets (µL) | 223,000 | 158,000 | 291,000 | 309,000 | N.A. | 292,000 | 267,000 |
| Notes | Dialysis | Transfusion |
Laboratory tests showed Hb 5.4 g/dL, PLTs 77,000/μL, sCr 4.76 mg/dL, BUN 120 mg/dL, LDH 633 IU/L, coagulation time normal, ADAMTS13 58%, haptoglobin 1.47 g/L, Coombs test positive, autoimmune profile with 1:100 ANA positivity with fine granular pattern, anti-dsDNA negative, C3 fraction of complement reduced to 0.66 g/L, C4 fraction and immunoglobulins normal, and ENA negative.
After hematological consultation, aHUS was suspected, and a peripheral blood smear indicated rare schistocytes (3-4 per field). Flow cytometry showed a CD66b+ population of 59%. CD33++ CD14+ monocytes were 10%. The lymphoid component was 15%. B lymphocytes did not show clonality. The patient underwent three consecutive rounds of dialysis and transfusion, and still presented anuria, mild dyspnea, and peripheral edema.
A clinical diagnosis of aHUS was taken into greater consideration, even if not all the data were in agreement, but given the patient’s instability and worsening of the clinical situation, it was decided to initiate a therapeutic protocol for aHUS.
In the following days, the patient’s respiratory status worsened, and broad-spectrum antibiotic therapy was started. Chest CT showed that the bilateral pleural effusion had increased (max thickness 58 mm vs 37 mm). During bronchoscopy, bronchoscopic aspiration was performed for microbiological analysis, which was positive for Pseudomonas Aeruginosa and for Klebsiella pneumoniae. Blood cultures were positive for coagulase-negative Staphylococcus.
Due to severe oxygen desaturation (SpO2 85%), mechanical ventilation was initiated, as was renal replacement therapy. After dialysis, the patient was transferred to the intensive care unit (ICU), where she remained under deep sedation and on mechanical ventilation for almost one month. Next, a CT scan was performed, which showed a small pleural collection pouched in the upper right lobe and signs of compensatory hypertrophy in the right kidney. The respiratory situation improved.
Therapy with ravulizumab (900 mg starting dose as per the protocol described above) was included in the treatment plan and contributed to stabilizing the patient’s hematological parameters and supporting recovery of renal function. Platelets showed an immediate increase, while hemoglobin improved approximately three days later (last need for transfusion with Hb <7.5 g/dL at 2 days after the first infusion). The day after the initial dose, diuresis resumed, and renal function started to recover after approximately 5 days, with a progressive decrease in sCr and suspension of dialysis. After the second infusion (2100 mg), she presented normal diuresis at approximately 100 mL/h without diuretic stimulation, sCr 0.33 mg/dL, BUN 17 mg/dL, Hb 8.7 g/dL, and PLT 269,000/μL (Table 4). The patient was discharged home from the ICU and currently attends the outpatient clinic for ongoing maintenance therapy with ravulizumab. Genetic testing has been performed, but results are not yet available at the time of writing.
In this case, the clinical diagnosis was complicated because not all minor criteria for TMA were present. While on one hand, the patient presented with life-threatening renal insufficiency and thrombocytopenia, the Coombs test was positive, there was weak ANA positivity, and haptoglobin and bilirubin were normal. Although a negative Coombs test can confirm aHUS, a positive result should not exclude it. The differential diagnosis with TTP was supported by ADAMTS13 activity >10% and normal PTT, while the normal coagulation profile excluded DIC.
Case #6
A 59-year-old woman on hemodialysis since 2018, initiated due to acute renal failure following an infection with verotoxin-producing E. coli, was admitted with severe symptoms including comitial seizures, respiratory failure, and worsening renal function, necessitating intensive care. These clinical features led to a diagnosis of typical HUS. As a result of residual ESRD, the patient underwent kidney transplantation. In the postoperative period, the patient experienced hypotension and delayed functional recovery of the kidney, requiring hemodialysis. Subsequently, a gradual improvement in diuresis was observed, with a sCr of 2.94 mg/dL upon discharge.
One month later, the patient was admitted for new onset of acute kidney injury (sCr 4.9 mg/dL), elevated uric acid (11.9 mg/dL), and anemia (hemoglobin 9 g/dL) with a normal platelet count. A graft ultrasound showed the transplanted kidney in the left iliac fossa to be of normal morphology and size, with parenchymal thickness preserved. A cortical cyst of 18 mm in the lower-middle third was seen in the context in which small septa were evident. On Doppler completion, slightly increased intraparenchymal resistance values were seen. A renal biopsy was taken, which, together with the patient’s medical history, was suggestive of damage to arterioles and small arteries secondary to TMA (likely reparative phase). Mild tubulo-interstitial scleroatrophy was noted. No features referable to acute rejection are observed. Laboratory testing showed no presence of schistocytes, increased LDH (200 IU/L), consumed haptoglobin levels, C3 in normal range, Coombs tests negative, hemoglobin 8.9 g/dL, and PLT 150,000/μL.
| Time | Details | Notes |
|---|---|---|
| Pre-first infusion | Hb 4.9 g/dL; PLTs 64,000/μL, sCr 4.88 mg/dL, BUN 119 mg/dL | |
| Day 1 after 1st infusion | Resumption of diuresis | |
| Day 2 after 1st infusion | Hb <7.5 g/dL | Transfusion |
| Day 3 after 1st infusion | Hb 11.2 g/dL; PLTs 256,000/μL | |
| After 2nd infusion | Hb 8.7 g/dL; PLTs 269,000/μL; sCr 0.33 mg/dL; BUN 17 mg/dL | Diuresis ~100 mL/h without stimulation |
Given the clinical situation, the patient started therapy with ravulizumab (2700 mg; weight 62 kg) as per the protocol described above. The decision to initiate ravulizumab therapy was based on its safety profile, its ability to provide rapid action during the acute phase, and the reassurance of prolonged coverage to prevent potential flare-ups. After 48 h from the first administration, the patient showed improvement in renal function with sCr decreasing to 3.6 mg/dL, hemoglobin increasing to 11 g/dL, and PLT rising to 341,000/μL. After the second dose, recovery of normal haptoglobin levels was seen.
At 10 months of follow-up, renal function improved, with sCr at 2.9 mg/dL, and hemoglobin and PLT were stable. C3 and haptoglobin were in the normal range. Genetic testing is in progress. Table 5 shows the improvement in hemodynamic and renal function after starting therapy with ravulizumab. The patient reported no side effects and only a minimal impact of therapy on social and work life.
| 48 h after 1st infusion | 10 months | |
|---|---|---|
| Hb (g/dL) | 11.0 | 11.0 |
| PLTs (uL) | 341,000 | 341,000 |
| sCr (mg/dL) | 3.6 | 2.9 |
Discussion
Herein, we present six diverse cases of aHUS caused by a variety of triggers. Case #1 demonstrates the difficulty of diagnosing TMAs during pregnancy, especially given the physiological changes of coagulation that occurred. In this case, pregnancy, placental abruption, and infections were all triggering factors. aHUS should be suspected in the presence of hemolytic anemia, thrombocytopenia, and renal failure, and early initiation of anti-C5 treatment, such as ravulizumab in this case, is crucial to minimize complications. Despite prompt treatment, there was unusual cardiac involvement, which was also exacerbated by viral infection. These combined conditions are rare, but can complicate each other and require a multidisciplinary approach. The response to ravulizumab was rapid in terms of hematologic parameters and blood count, while improvement in renal function was delayed in comparison. Dialysis and the underlying causes of renal damage (hemorrhagic shock, sepsis, TMA, and subsequent cardiogenic shock) hindered the drug’s effect on renal function. However, renal function gradually improved with discontinuation of dialysis, and stabilization at stage 4 CKD was likely attributable to the positive effects of ravulizumab.
aHUS must always be considered in cases of persistent hemolysis and AKI in the postpartum period, as demonstrated by case #2. Acute renal failure due to pregnancy-associated aHUS often leads to subsequent chronic kidney failure (25,26). This highlights the need for early, specific, and aggressive treatment as advocated by a recent international working group (27). Moreover, a multidisciplinary approach to such cases can greatly aid in achieving a prompt diagnosis and initiating anticomplement therapy as soon as possible (28). This is also in consideration of the finding that many cases of pregnancy-associated aHUS have no identified trigger other than pregnancy (29,30).
In case #5, aHUS was considered even when not all minor criteria were present; in particular, a positive Coombs test should not exclude aHUS diagnosis. Following administration of ravulizumab, there was optimal recovery of diuresis, renal function, and hematological status, despite being in critical condition. Severe pneumonia was probably the trigger for the TMA. Even in the presence of a septic state, the use of ravulizumab should not be delayed for fear of worsening infectious complications.
The present cases also highlight the need for lifelong treatment, at least in some patients. In cases #3 and #6, the reduction in sCr was relatively rapid compared to cases #1 and #4, but in the latter cases, sCr levels continued to improve over time (1.9 mg/dL and 2.04 mg/dL, 12 and 19 months after the initiation of ravulizumab, respectively). In patient #1, given the gradual improvement in sCr and that genetic analyses were subsequently negative, discontinuation of ravulizumab is now being undertaken with careful monitoring. This emphasizes the possibility of discontinuation of anticomplement therapy in patients in whom renal function has recovered and is stable.
In this regard, Wijnsma et al. described the outcomes of restrictive treatment with eculizumab in 20 patients with aHUS (31). Eculizumab was tapered in all patients and discontinued in 17 cases with recurrence of aHUS in 5 patients. However, all patients were closely monitored, recurrence was detected early, and anticomplement therapy was restarted promptly with no clinical sequela or additional kidney dysfunction. Similarly, Ardissino et al. reported on their experience in discontinuation of eculizumab in 10 patients with aHUS (32). Of these, three patients had a relapse within 6 weeks of cessation of anticomplement therapy, but immediately restarted it with complete recovery. These results underline that it is possible to discontinue anticomplement therapy, at least in a proportion of carefully selected patients who achieved stable remission. Furthermore, with close monitoring, it is possible to detect relapses early with no clinical consequences.
Nonetheless, other authors have reported less positive experiences when attempting to discontinue eculizumab in patients with aHUS. In the series by Macia et al., of 52 patients discontinuing therapy, 16 had a subsequent manifestation of TMA; 12 patients had severe complications, 9 of whom restarted eculizumab (33). In an analysis of the available literature, Laurence concluded that discontinuation should be considered on a case-by-case basis with careful monitoring, after 6-12 months of treatment for aHUS and with at least 3 months of normalization of renal function or stabilization of CKD (34).
Current recommendations include the adoption of an individualized approach to the management of aHUS, and the decision to discontinue therapy should be personalized by evaluating the risk of relapse and the profile of the specific patient, and strict use of close monitoring. As a minimum, patients with pregnancy-associated aHUS and high risk of relapse should be treated for at least 6-12 months. In all cases, the TMA must be resolved before discontinuation of anticomplement therapy is considered (24).
In addition, the potential involvement of multiple organ systems/extrarenal manifestations and complexity of care necessitate specialized interventions and the adoption of a multidisciplinary approach at all stages of management (35). All clinicians must be aware of the complexities of differential diagnosis and the need for early initiation of anticomplement therapy, even when not all minor diagnostic criteria for aHUS are concomitantly present. In this regard, multidisciplinary support can be of significant clinical value, as shown by the cases presented herein.
In conclusion, this real-world case series of treatment-naïve patients with aHUS, presenting with a range of clinical scenarios and underlying triggers, showed that early use of ravulizumab as first-line therapy was consistently associated with rapid and sustained clinical improvements, along with good tolerability. These findings further reinforce its value as a therapeutic option in the management of aHUS and highlight the importance of timely diagnosis and a multidisciplinary approach.
Acknowledgments
The authors thank Patrick Moore, PhD, for medical writing assistance and Alessia Doria for editorial support, provided on behalf of Health Publishing & Services s.r.l. This assistance was funded by Alexion Pharma Italy s.r.l. in compliance with Good Publication Practice (GPP3) guidelines. Alexion Pharma Italy s.r.l. had no role in the conduct of the literature search, in the preparation of the article, in the interpretation of clinical cases, and in the writing of the article for publication.
Other information
Corresponding author:
Livia Maria Sorrentino
email: liviamaria.sorrentino@aocardarelli.it
Disclosures
Conflict of Interest: The authors declare that the research was conducted in the absence of any commercial or financial relationships that could be construed as a potential conflict of interest.
Financial support: This research received no specific grant from any funding agency in the public, commercial, or not-for-profit sectors.
Data availability statement: All data analyzed during this study are included in this article. Further information is available from the corresponding author upon reasonable request.
Statement of Ethics: Written informed consent for publication (including images) has been obtained from the patients. The research was conducted ethically in accordance with the World Medical Association Declaration of Helsinki. The article is exempt from Ethical Committee approval since it is related only to six case reports.
References
- Raina R, Krishnappa V, Blaha T, et al. Atypical hemolytic-uremic syndrome: an update on pathophysiology, diagnosis, and treatment. Ther Apher Dial. 2019;23(1):4-21. https://doi.org/10.1111/1744-9987.12763 PMID:30294946 DOI: https://doi.org/10.1111/1744-9987.12763
- Yoshida Y, Kato H, Ikeda Y, et al. Pathogenesis of atypical hemolytic uremic syndrome. J Atheroscler Thromb. 2019;26(2):99-110. https://doi.org/10.5551/jat.RV17026 PMID:30393246 DOI: https://doi.org/10.5551/jat.RV17026
- Loirat C, Frémeaux-Bacchi V. Atypical hemolytic uremic syndrome. Orphanet J Rare Dis. 2011;6(1):60. https://doi.org/10.1186/1750-1172-6-60 PMID:21902819 DOI: https://doi.org/10.1186/1750-1172-6-60
- Fremeaux-Bacchi V, Fakhouri F, Garnier A, et al. Genetics and outcome of atypical hemolytic uremic syndrome: a nationwide French series comparing children and adults. Clin J Am Soc Nephrol. 2013;8(4):554-562. https://doi.org/10.2215/CJN.04760512 PMID:23307876 DOI: https://doi.org/10.2215/CJN.04760512
- Petr V, Thurman JM. The role of complement in kidney disease. Nat Rev Nephrol. 2023;19(12):771-787. https://doi.org/10.1038/s41581-023-00766-1 PMID:37735215 DOI: https://doi.org/10.1038/s41581-023-00766-1
- Vivarelli M, Barratt J, Beck LH Jr, et al.. The role of complement in kidney disease: conclusions from a Kidney Disease: Improving Global Outcomes (KDIGO) Controversies Conference. Kidney Int. 2024;106(3):369-391. https://doi.org/10.1016/j.kint.2024.05.015 PMID:38844295 DOI: https://doi.org/10.1016/j.kint.2024.05.015
- Stea ED, D’Ettorre G, Mitrotti A, et al. The complement system in the pathogenesis and progression of kidney diseases: what doesn't kill you makes you older. Eur J Intern Med. 2024;124:22-31. https://doi.org/10.1016/j.ejim.2024.02.015 PMID:38461065 DOI: https://doi.org/10.1016/j.ejim.2024.02.015
- Duval A, Frémeaux-Bacchi V. Complement biology for hematologists. Am J Hematol. 2023;98(S4)(suppl 4):S5-S19. https://doi.org/10.1002/ajh.26855 PMID:36688486 DOI: https://doi.org/10.1002/ajh.26855
- Licht C, Al-Dakkak I, Anokhina K, et al. Characterization of patients with aHUS and associated triggers or clinical conditions: a global aHUS registry analysis. Nephrology (Carlton). 2024;29(8):519-527. https://doi.org/10.1111/nep.14304 PMID:38604995 DOI: https://doi.org/10.1111/nep.14304
- Meena P, Gala R, Das RR, et al. Kidney and pregnancy outcomes in pregnancy-associated atypical hemolytic uremic syndrome: a systematic review and meta-analysis. Medicine (Baltimore). 2025;104(5):e41403. https://doi.org/10.1097/MD.0000000000041403 PMID:39889176 DOI: https://doi.org/10.1097/MD.0000000000041403
- Laurence J, Haller H, Mannucci PM, et al. Atypical hemolytic uremic syndrome (aHUS): essential aspects of an accurate diagnosis. Clin Adv Hematol Oncol. 2016;14 Suppl 11(11):2-15. PMID: 27930620
- West EE, Woodruff T, Frémeaux-Bacchi V, et al. Complement in human disease: approved and up-and-coming therapeutics. Lancet. 2024;403(10424):392-405. https://doi.org/10.1016/S0140-6736(23)01524-6 PMID:37979593 DOI: https://doi.org/10.1016/S0140-6736(23)01524-6
- Bouwman HB, Guchelaar HJ. The efficacy and safety of eculizumab in patients and the role of C5 polymorphisms. Drug Discov Today. 2024;29(9):104134. https://doi.org/10.1016/j.drudis.2024.104134 PMID:39111540 DOI: https://doi.org/10.1016/j.drudis.2024.104134
- McKeage K. Ravulizumab. First global approval. Drugs. 2019;79(3):347-352. https://doi.org/10.1007/s40265-019-01068-2 PMID:30767127 DOI: https://doi.org/10.1007/s40265-019-01068-2
- Shahid K, Qayyum S. Eculizumab versus ravulizumab for the treatment of atypical hemolytic uremic syndrome: a systematic review. Cureus. 2023;15(9):e46185. https://doi.org/10.7759/cureus.46185 PMID:37905269 DOI: https://doi.org/10.7759/cureus.46185
- Lee JW, Sicre de Fontbrune F, Wong Lee Lee L, et al. Ravulizumab (ALXN1210) vs eculizumab in adult patients with PNH naive to complement inhibitors: the 301 study. Blood. 2019;133(6):530-539. https://doi.org/10.1182/blood-2018-09-876136 PMID:30510080 DOI: https://doi.org/10.1182/blood-2018-09-876136
- Legendre C, Rebecca-Sberro-Soussan, Zuber J. Ravulizumab for the treatment of aHUS in adults: improving quality of life. Kidney Int Rep. 2021;6(6):1489-1491. https://doi.org/10.1016/j.ekir.2021.04.036 PMID:34169186 DOI: https://doi.org/10.1016/j.ekir.2021.04.036
- Mauch TJ, Chladek MR, Cataland S, et al. Treatment preference and quality of life impact: ravulizumab vs eculizumab for atypical hemolytic uremic syndrome. J Comp Eff Res. 2023;12(9):e230036. https://doi.org/10.57264/cer-2023-0036 PMID:37515502 DOI: https://doi.org/10.57264/cer-2023-0036
- Fakhouri F, Schwotzer N, Frémeaux-Bacchi V. How I diagnose and treat atypical hemolytic uremic syndrome. Blood. 2023;141(9):984-995. https://doi.org/10.1182/blood.2022017860 PMID:36322940 DOI: https://doi.org/10.1182/blood.2022017860
- Rondeau E, Scully M, Ariceta G, et al.; 311 Study Group. The long-acting C5 inhibitor, ravulizumab, is effective and safe in adult patients with atypical hemolytic uremic syndrome naïve to complement inhibitor treatment. Kidney Int. 2020;97(6):1287-1296. https://doi.org/10.1016/j.kint.2020.01.035 PMID:32299680 DOI: https://doi.org/10.1016/j.kint.2020.01.035
- Schönfelder K, Kühne L, Schulte-Kemna L, et al. Clinical efficacy and safety of switching from eculizumab to ravulizumab in adult patients with aHUS- real-world data. BMC Nephrol. 2024;25(1):202. https://doi.org/10.1186/s12882-024-03638-3 PMID:38898427 DOI: https://doi.org/10.1186/s12882-024-03638-3
- Schaefer F, Al-Dakkak I, Anokhina K, et al. Global aHUS registry analysis of patients switching to ravulizumab from eculizumab. Kidney Int Rep. 2024;9(9):2648-2656. https://doi.org/10.1016/j.ekir.2024.06.020 PMID:39291212 DOI: https://doi.org/10.1016/j.ekir.2024.06.020
- Ultomiris. Riassunto delle caratteristiche del prodotto. Online https://ec.europa.eu/health/documents/community-register/2023/20230531159289/anx_159289_it.pdf (Accessed July 2025)
- Ávila A, Cao M, Espinosa M, et al. Recommendations for the individualised management of atypical hemolytic uremic syndrome in adults. Front Med (Lausanne). 2023;10:1264310. https://doi.org/10.3389/fmed.2023.1264310 PMID:38105887 DOI: https://doi.org/10.3389/fmed.2023.1264310
- Cadet B, Meshoyrer D, Kim Z. Atypical hemolytic uremic syndrome: when pregnancy leads to lifelong dialysis: a case report and literature review. Cardiovasc Endocrinol Metab. 2021;10(4):225-230. https://doi.org/10.1097/XCE.0000000000000247 PMID:34765894 DOI: https://doi.org/10.1097/XCE.0000000000000247
- Mirza M, Sadiq N, Aye C. Pregnancy-associated atypical hemolytic uremic syndrome and life-long kidney failure. Cureus. 2022;14(6):e25655. https://doi.org/10.7759/cureus.25655 PMID:35800199 DOI: https://doi.org/10.7759/cureus.25655
- Fakhouri F, Scully M, Provôt F, et al. Management of thrombotic microangiopathy in pregnancy and postpartum: report from an international working group. Blood. 2020;136(19):2103-2117. https://doi.org/10.1182/blood.2020005221 PMID:32808006 DOI: https://doi.org/10.1182/blood.2020005221
- Che M, Moran SM, Smith RJ, et al. A case-based narrative review of pregnancy-associated atypical hemolytic uremic syndrome/complement-mediated thrombotic microangiopathy. Kidney Int. 2024;105(5):960-970. https://doi.org/10.1016/j.kint.2023.12.021 PMID:38408703 DOI: https://doi.org/10.1016/j.kint.2023.12.021
- Fakhouri F, Scully M, Ardissino G, et al. Pregnancy-triggered atypical hemolytic uremic syndrome (aHUS): a Global aHUS Registry analysis. J Nephrol. 2021;34(5):1581-1590. https://doi.org/10.1007/s40620-021-01025-x PMID:33826112 DOI: https://doi.org/10.1007/s40620-021-01025-x
- Rondeau E, Ardissino G, Caby-Tosi MP, et al.; Global aHUS Registry. Pregnancy in women with atypical hemolytic uremic syndrome. Nephron J. 2022;146(1):1-10. https://doi.org/10.1159/000518171 PMID:34515154 DOI: https://doi.org/10.1159/000518171
- Wijnsma KL, Duineveld C, Volokhina EB, et al. Safety and effectiveness of restrictive eculizumab treatment in atypical haemolytic uremic syndrome. Nephrol Dial Transplant. 2018;33(4):635-645. https://doi.org/10.1093/ndt/gfx196 PMID:29106598 DOI: https://doi.org/10.1093/ndt/gfx196
- Ardissino G, Testa S, Possenti I, et al. Discontinuation of eculizumab maintenance treatment for atypical hemolytic uremic syndrome: a report of 10 cases. Am J Kidney Dis. 2014;64(4):633-637. https://doi.org/10.1053/j.ajkd.2014.01.434 PMID:24656451 DOI: https://doi.org/10.1053/j.ajkd.2014.01.434
- Macia M, de Alvaro Moreno F, Dutt T, et al. Current evidence on the discontinuation of eculizumab in patients with atypical haemolytic uraemic syndrome. Clin Kidney J. 2017;10(3):310-319. https://doi.org/10.1093/ckj/sfw115 PMID:28621343 DOI: https://doi.org/10.1093/ckj/sfw115
- Laurence J. Defining treatment duration in atypical hemolytic uremic syndrome in adults: a clinical and pathological approach. Clin Adv Hematol Oncol. 2020;18(4):221-230. PMID:32628650
- Yerigeri K, Kadatane S, Mongan K, et al. Atypical hemolytic-uremic syndrome: genetic basis, clinical manifestations, and a multidisciplinary approach to management. J Multidiscip Healthc. 2023;16:2233-2249. https://doi.org/10.2147/JMDH.S245620 PMID:37560408 DOI: https://doi.org/10.2147/JMDH.S245620




