Clinical and histological findings following the application of a single session of recombinant enzymes on the face
DOI:
https://doi.org/10.33393/ao.2026.3555Keywords:
Aging, Collagen, Hyperpigmentation, Inflammation, Recombinant enzymesAbstract
Introduction: Several factors influence the quality and appearance of the skin, including age, lifestyle, sun exposure, and certain conditions. These elements can have a significant negative impact on some individuals. As a
result, esthetic medicine is increasingly sought after as a solution to counteract these effects, enhancing both
appearance and self-esteem. The objective of the research was to observe the clinical and histological changes
in the skin of five women with photoaging, hyperpigmentation, rhytidosis, or acne scars after a single application
of recombinant enzymes.
Methods: This longitudinal descriptive study was conducted on 5 women aged 47-65, randomly selected.
Photographic records and biopsies were taken before and after the treatment.
Results: Clinical results revealed a significant improvement in skin quality and texture, with reduced skin laxity
and skin repositioning, as well as a decrease in hyperpigmented lesions and acne scars. Histologically, there was a
reduction in hyperkeratosis and collagen basophilia, along with regeneration of elastic and collagen fibers, showing
an increase in their integrity.
Conclusion: A single dose of recombinant enzymes demonstrated improvement in skin quality both clinically and
histologically in 100% of the patients, proving to be a safe, reliable, and easy-to-apply treatment. It achieved high
levels of patient satisfaction, suggesting its potential to replace more invasive procedures.
Introduction
In recent years, life expectancy has increased (1), and the primary goal is to ensure a high quality of life, where health enhancement and esthetics play a crucial role. Many individuals seek and prioritize feeling comfortable with their own image. However, various skin conditions may be considered esthetically undesirable by some of them. Signs of facial aging, such as wrinkles and folds, poor skin tone and texture, and an imbalanced distribution of soft tissue (2), can have psychological, emotional, and social negative effects (3).
Factors such as age, ethnicity, demographic conditions, exposure to pollution, and lifestyle habits, including alcohol consumption, physical inactivity, smoking, and diet, among others, can have either positive or negative effects on skin health (4,5).
Sun exposure (6,7) and chronological aging also contribute to the deterioration of skin quality due to oxidative stress and damage to the genetic material of cells and structural skin proteins, including collagen and elastin. This process leads to increased inflammation, alterations in skin pigmentation, elastosis, and a higher risk of developing skin cancer (8,9).
Acne is also a skin condition with a negative connotation. It is an inflammatory skin alteration that affects more than 80% of individuals between the ages of 11 and 30 and can persist in adulthood in up to 5% of cases (10). Inflammatory forms of acne may lead to the formation of permanent scars, which can have significant social and psychological implications for the individual (11).
Esthetic treatment of facial aging is a considerable option to achieve attractive, natural-looking results and may have a substantial positive impact on an individual’s self-image and on how one is perceived by those with whom one has social interactions (3,12). Consequently, esthetic enhancement has become essential both in daily life and in professional settings. Esthetic and plastic medicine aim to safely and efficiently fulfil society’s beauty and esthetic standards, providing rapid results with minimal side effects (13).
In recent years, there has been a notable increase in patients seeking medical esthetic treatments to enhance the appearance of their facial skin, primarily aiming to reduce signs of aging such as rhytidosis, hyperpigmented spots, skin laxity, and the deepening of expression lines (14,15).
The current market offers a broad spectrum of treatments, ranging from esthetic approaches—including photoprotectors, topical and oral formulations, and various anti-aging strategies, often enhanced by advanced technologies—to non-invasive procedures such as injectables, and invasive interventions, including surgical techniques.
Several scientific studies have demonstrated the use of recombinant enzymes in the treatment of various dermo-esthetic conditions (16-18). However, no data is available in the literature regarding histological changes in the skin following treatment with recombinant enzymes.
This study aims to visually assess changes in different signs of skin aging and analyze the associated histological modifications to validate and support the observed clinical modifications after applying the pbserum LOW enzymatic cocktail.
Materials and Methods
This is a descriptive longitudinal study where 5 patients aged between 45 and 65 were included. Patients presented photoaging, hyperpigmentation, rhytidosis, and/or acne scars on their faces. All participants were healthy, non-smokers, not pregnant, and had not previously undergone treatments with injected substances. However, they may have previously cared for their skin with moisturizers and/or sunscreens.
Participants were fully informed about the purpose, risks, and benefits of the study, as well as their rights. They signed an informed consent form for biopsy collection, product application, photographic documentation, data treatment, and authorization for publication of data and photos. All data was handled and will be published confidentially. Participants had the autonomy to decide their participation and were free to withdraw at any time.
Prior to the application of the recombinant enzymes, an initial photographic record was taken. A skin biopsy was then collected from the right preauricular region using a N4 punch, with aseptic procedures and local anesthesia with 1% lidocaine without epinephrine.
Thirty minutes before pbserum LOW injections, a topical anesthetic was applied to the area to be treated. A strict antiseptic control was performed, washing the area with 3-minute surgical chlorhexidine soap before the procedure began.
The product studied was pbserum HA1.5 LOW (supplied by pbserum Proteos Biotech S.L.), which consists of a 1.5 mL syringe of 0.1% sodium hyaluronate, obtained from Streptococcus equi subsp. zooepidemicus. A vial contains 3 recombinant bacterial enzymes: collagenase PB220, lipase PB500 and lyase PB72K; lyophilized and in different proportions. There is a vial of saline solution. The enzymes were reconstituted with the sodium hyaluronate, and the amount of saline solution required for the area to be treated and with the addition of 0.5 cc lidocaine 1% without epinephrine. For product injection, 3 cc syringes with 30G × 1 hypodermic needles were used, and the solution was administered subcutaneously following a cephalic vectorization technique recommended by the authors, as shown in Figure 1.
Figure 1 -. Design of the schematic representation through cephalic vectorization for the subcutaneous application of recombinant enzymes on the face, as conceived and recommended by the authors.
Five days after the application of pbserum LOW, a radiofrequency session was performed. After 45 days, the patients were recalled for a second photographic recording and biopsy collection from the same area as the initial sample. All photos were taken by the same individual using an iPhone 15 Pro camera without flash and without any retouching.
The biopsies were immediately placed in containers with 10% neutral formalin at a ratio of 10 parts formalin to the volume of the sample and sent to the pathology laboratory. All samples were processed and analyzed within 24 hours of biopsy collection. The samples were fixed for at least 6 hours and then conventionally processed automatically for 12 hours in formalin, alcohol, xylene, and paraffin. Subsequently, they were embedded in paraffin blocks and sectioned at 3 microns using a microtome, followed by staining with Hematoxylin and Eosin (H&E), Trichrome stain for collagen visualization, and Elastic stain for better visualization of elastic fiber fragmentation and integrity. The sections were examined by the same pathologist, who compared the findings from the H&E, Trichrome, and Elastic stains in the biopsies taken before and after the recombinant enzyme application.
After the application of the enzymes, patients were instructed to maintain proper hydration and avoid any form of anti-inflammatory therapy, including cold applications, medications, or massages. In the event of ecchymosis, they were advised to camouflage these signs with makeup and sunscreen only. Patients were also instructed to refrain from physical activity for 48 hours and could resume their daily activities the day after the procedure. Each patient was informed about the potential adverse effects or discomfort they might experience following the procedure.
Results
Visual Clinical Changes
The patients were evaluated 45 days after a single application of recombinant enzymes, pbserum LOW, to the facial skin. A significant improvement in skin quality and texture was observed, along with a reduction in skin laxity and repositioning of the tissue across the face and submental region. Additionally, a marked reduction in the appearance of hyperpigmented lesions and acne scars was noted in some of the study participants (Figs 2-4).
It is important to highlight that these changes were perceived both by the evaluators and reported by the patients themselves.
Figure 2 -. Visual Clinical Changes. A. Before the application of pbserum LOW. B. Reduction in the appearance of acne scars and hyperpigmented lesions, as well as repositioning of the skin, 45 days after a single application of the pbserum LOW.
FIGURE 3 -. Visual Clinical Changes. A. Before the application of pbserum LOW. B. Clinical improvement and skin repositioning 45 days after the application of pbserum LOW.
FIGURE 4 -. Changes in Periorbital and Cheek Skin Repositioning. A. Before the application of pbserum LOW. B. After 3 weeks. C. After 6 weeks following the application of pbserum LOW.
Histological Findings Prior to the Application of Recombinant Enzymes
In the H&E-stained sections evaluating facial skin samples prior to the application of recombinant enzymes, a normal-thickness squamous epithelium was observed in 4 patients (80%), while 1 patient (20%) exhibited squamous epithelium with epidermal thinning. Hyperkeratosis without parakeratosis was present in 4 patients (80%), whereas 1 patient (20%) showed hyperkeratosis with mild focal parakeratosis. Additionally, the dermis exhibited basophilic changes in collagen in all 5 patients (100%) and mild superficial mononuclear inflammatory infiltrate in 3 patients (60%) (Fig. 5A).
In the elastic-stained sections, a high degree of elastic fiber fragmentation was observed, with the formation of fiber aggregates in all 5 patients (100%) (Fig. 6A).
In the trichrome-stained sections, fragmented dermal collagen arranged in aggregates was present in all 5 patients (100%) (Fig. 7A).
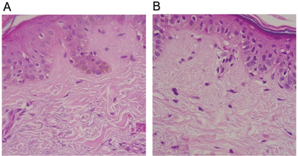
FIGURE 5 -. H&E staining at x40. A. Pre-treatment biopsy: Hyperkeratosis, basophilic changes in collagen, and melanin pigments in the basal layer of the skin. B. Post-treatment Biopsy: Decreased hyperkeratosis, improved basophilic changes in collagen, and reduced melanin pigments in the basal layer of the skin.
Histological Findings After the Application of Recombinant Enzymes
In the H&E-stained sections analyzing facial skin samples, a normal-thickness squamous epithelium was observed in all 5 patients (100%), along with basophilic changes in dermal collagen in all cases (100%) and minimal superficial mononuclear inflammatory infiltrate in 4 patients (80%) (Fig. 5B).
In the elastic-stained sections, more homogeneous elastic fibers with reduced fragmentation and fewer aggregates were observed in 4 patients (80%) (Fig. 6B).
In the trichrome-stained sections, newly formed homogeneous collagen bands and a reduction in fragmented fibers were observed in 4 patients (80%) (Fig. 7B).
Comparison of the Histological Findings Prior to and After the Application of the Recombinant Enzymes
In the H&E-stained sections, a slight reduction in collagen basophilia, decreased hyperkeratosis, and a diminished inflammatory response were observed.
In the elastin-stained sections, a reduction in fragmented elastic fibers and an increase in newly formed intact elastic fibers were noted in the biopsy after the application of the enzymes. It is noteworthy that the initial biopsy showed aggregates of fragmented subepidermal elastic fibers, changes that were attenuated in the second sample.
In the trichrome-stained sections for collagen, the regeneration of new collagen fibers was observed, with improved integrity and homogeneity.
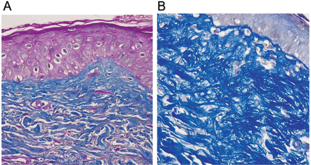
FIGURE 6 -. Elastic stain at x40. A. Pre-treatment biopsy: Fragmentation of elastic fibers with aggregations. B. post-treatment biopsy: Decreased fragmented fibers and appearance of homogeneous elastic fibers.
FIGURE 7 -. Trichrome stain at x40. A. Pre-treatment biopsy: Presence of fragmented dermal collagen. B. Post-treatment biopsy: Regeneration of homogeneous collagen fibers and reduction of fragmented fibers.
Discussion
Photoaging occurs as a consequence of prolonged and continuous exposure to ultraviolet radiation, leading to DNA damage mediated by inflammatory markers such as histamine, TNF-alpha, nitric oxide, and prostaglandins, among others. Cutaneous manifestations include wrinkled skin with a leathery texture and visible signs of aging, resulting from epidermal atrophy, hypertrophy of the papillary dermis, elastosis, telangiectasia, hyperkeratosis, and pigmentation changes (19,20).
Hyperpigmented skin lesions may also arise during pregnancy, with the use of medications such as hormonal contraceptives, or as a result of inflammatory skin conditions affecting the face, including acne, psoriasis, or dermatitis (21).
Acne is an inflammatory disease in which the wound healing process progresses through several phases. Initially, the inflammatory phase involves vasoconstriction and vasodilation, often accompanied by hyperpigmentation. The second phase is characterized by the proliferation of type III collagen, followed by a remodeling phase in which these fibers undergo architectural reorganization of the skin (22). An imbalance in this process can lead to the formation of hypertrophic or atrophic scars, the latter being the most common (23).
While the therapeutic management of these skin alterations has traditionally relied on various non-invasive and invasive treatments, the advent of recombinant enzymes has introduced a new approach to treating the aforementioned skin conditions. Pbserum LOW is a cocktail of the recombinant enzymes, collagenase PB220, lipase PB500, and lyase PB72K, at different proportions:
When the enzymes are injected into the skin, collagenase breaks down the peptide bonds in collagen, degrades loose and non-functional fibers, and stimulates the production of a new collagen network, thereby improving skin appearance and texture (24). Lipase hydrolyzes triglycerides within adipocytes, reducing their size and thereby diminishing localized fat deposits without damaging surrounding tissue (25). Lyase degrades polysaccharides in the extracellular matrix, reducing inflammation and enhancing the penetration of other enzymes into the tissues (26).
In this study, we observed both clinical and histological changes demonstrating skin regeneration and improvement following a single session of pbserum LOW application. This enzymatic cocktail enhanced skin quality, texture, and elasticity, reducing skin laxity and repositioning the skin at the facial and submental levels. Additionally, it significantly diminished the appearance of hyperpigmented lesions and acne scars.
A comparison of biopsy findings before and after the application of recombinant enzymes revealed a decrease in collagen basophilia, hyperkeratosis, and, consequently, the inflammatory response. Regeneration of elastic and collagen fibers was observed, along with a reduction in the number of fragmented fibers and their aggregates, resulting in greater structural homogeneity.
Based on these findings, we can infer that the treatment in the 5 patients led to overall skin regeneration, characterized by an increased presence of collagen and elastic fibers with reduced susceptibility to fragmentation, as is observed in other studies (27). This may explain the observed reduction in skin laxity and improved tissue repositioning.
The use of recombinant enzymes was safe for all patients. And they experienced a rapid recovery. The level of patient satisfaction was remarkably high, as the improvements were both perceived and reported by the patients themselves, leading all study participants to request a repeat treatment.
Beyond its efficacy, safety, and high patient satisfaction, the procedure was straightforward to perform, requiring only a short learning curve for its application.
Proper use of recombinant enzymes has the potential to replace other dermatological treatments, such as fillers, collagen precursors, thread lifts, platelet-rich plasma (PRP), lasers, and device-based procedures. This is due to its ease of application, low risk of complications, and rapid recovery, allowing patients to return to their daily routines with minimal downtime.
The study has several limitations. The sample size is very small, there is no control group, and no statistical analysis has been performed. These factors greatly limit the ability to draw precise and rigorous conclusions. Another limitation of this study is that two of the authors are employees of the company that manufactures and supplies the investigated product. Although this potential conflict of interest has been fully disclosed, it may have introduced some degree of bias in the protocol or interpretation of the results. Future studies into a more robust, well-designed protocol and conducted by independent research teams, would be valuable to confirm these findings.
Conclusions
A single dose of pbserum LOW produced improvement in skin quality and texture and a reduction in skin laxity and in the appearance of hyperpigmented lesions and acne scars in the patients studied. This is the first study to present histological data regarding the use of recombinant enzymes in addressing these facial skin issues. The analysis of the biopsied tissues supported the visual results. Pbserum LOW injections were a safe, easy-to-apply treatment, and it achieved high levels of patient satisfaction. More studies are needed to get a better understanding of the effect of the recombinant enzymes visual and microscopically.
Acknowledgments
The authors are deeply grateful to their patients for their trust and willingness, without whom this research would not have been possible. We are also grateful to Dr. Estefanía Hurtado Gómez on behalf of Biopress Ediciones Médicas, for her work in reviewing the writing of the article.
Other information
Corresponding author:
Julio Alberto Giraldo Mesa
email: Juliogiraldo123@gmail.com
Disclosures
Conflict of interest: JAGM, GMT and SMVR declare they do not have a conflict of interest. VK and JLB are employees of Proteos Biotech.
Financial support: This study received funding from the company Meditek Ergo SAS.
Authors’ contributions: JAGM, GMT and SMVR have contributed to the clinical and histological part, the analysis and writing. VK and JLB have contributed to the writing of the manuscript.
References
- Dattani S, Rodés-Guirao L, Ritchie H, et al. Life expectancy. Our world in data. 2024. Online https://ourworldindata.org/life-expectancy (Accessed April 2025)
- Swift A, Liew S, Weinkle S, et al. The facial aging process from the “inside out”. Aesthet Surg J. 2021;41(10):1107-1119. https://doi.org/10.1093/asj/sjaa339 PMID:33325497 DOI: https://doi.org/10.1093/asj/sjaa339
- Gupta MA, Gilchrest BA. Psychosocial aspects of aging skin. Dermatol Clin. 2005;23(4):643-648. https://doi.org/10.1016/j.det.2005.05.012 PMID:16112440 DOI: https://doi.org/10.1016/j.det.2005.05.012
- Goodman GD, Kaufman J, Day D, et al. Impact of smoking and alcohol use on facial aging in women: results of a large multinational, multiracial, cross-sectional survey. J Clin Aesthet Dermatol. 2019;12(8):28-39. PMID:31531169
- Gianoudis J, Bailey CA, Daly RM. Associations between sedentary behaviour and body composition, muscle function and sarcopenia in community-dwelling older adults. Osteoporos Int. 2015;26(2):571-579. https://doi.org/10.1007/s00198-014-2895-y PMID:25245026 DOI: https://doi.org/10.1007/s00198-014-2895-y
- Fisher GJ, Kang S, Varani J, et al. Mechanisms of photoaging and chronological skin aging. Arch Dermatol. 2002;138(11):1462-1470. https://doi.org/10.1001/archderm.138.11.1462 PMID:12437452 DOI: https://doi.org/10.1001/archderm.138.11.1462
- Mastore M, Kohler L, Nappi AJ. Production and utilization of hydrogen peroxide associated with melanogenesis and tyrosinase-mediated oxidations of DOPA and dopamine. FEBS J. 2005;272(10):2407-2415. https://doi.org/10.1111/j.1742-4658.2005.04661.x PMID:15885091 DOI: https://doi.org/10.1111/j.1742-4658.2005.04661.x
- Sies H, Jones DP. Reactive oxygen species (ROS) as pleiotropic physiological signalling agents. Nat Rev Mol Cell Biol. 2020;21(7):363-383. https://doi.org/10.1038/s41580-020-0230-3 PMID:32231263 DOI: https://doi.org/10.1038/s41580-020-0230-3
- Fisher GJ, Quan T, Purohit T, et al. Collagen fragmentation promotes oxidative stress and elevates matrix metalloproteinase-1 in fibroblasts in aged human skin. Am J Pathol. 2009;174(1):101-114. https://doi.org/10.2353/ajpath.2009.080599 PMID:19116368 DOI: https://doi.org/10.2353/ajpath.2009.080599
- Jacob CI, Dover JS, Kaminer MS. Acne scarring: a classification system and review of treatment options. J Am Acad Dermatol. 2001;45(1):109-117. https://doi.org/10.1067/mjd.2001.113451 PMID:11423843 DOI: https://doi.org/10.1067/mjd.2001.113451
- Williams C, Layton AM. Persistent acne in women: implications for the patient and for therapy. Am J Clin Dermatol. 2006;7(5):281-290. https://doi.org/10.2165/00128071-200607050-00002 PMID:17007539 DOI: https://doi.org/10.2165/00128071-200607050-00002
- Reilly MJ, Tomsic JA, Fernandez SJ, et al. Effect of facial rejuvenation surgery on perceived attractiveness, femininity, and personality. JAMA Facial Plast Surg. 2015;17(3):202-207. https://doi.org/10.1001/jamafacial.2015.0158 PMID:25856281 DOI: https://doi.org/10.1001/jamafacial.2015.0158
- Hoffman L, Fabi S. Look better, feel better, live better? The impact of minimally invasive aesthetic procedures on satisfaction with appearance and psychosocial wellbeing. J Clin Aesthet Dermatol. 2022;15(5):47-58. PMID:35642226
- Chummun BS, McLean NR, Wokes JET, et al. The incidence of non-surgical rejuvenation in facial aesthetic surgery. The PMFA Journal. 2024;11(4). https://www.thepmfajournal.com/features/features/post/the-incidence-of-non-surgical-rejuvenation-in-facial-aesthetic-surgery
- Liu Y, Mao R, Xiao M, et al. Facial rejuvenation: a global trend of dermatological procedures in the last decade. Plast Reconstr Surg Glob Open. 2024;12(6):e5801. https://doi.org/10.1097/GOX.0000000000005801 PMID:38841523 DOI: https://doi.org/10.1097/GOX.0000000000005801
- Fierro-Arias. Campos-Cornejo, Contreras-Ruiz, et al. Productos enzimáticos (hialuronidasa, colagenasa y lipasa) y su uso en Dermatología. Revista Mexicana de Dermatología; 2017:61.
- de Castro García MP, Muñoz Montaño JR. Evaluación de ácido hialurónico y coctel enzimático en cicatrices. Estudio multicéntrico. Dermatología CMQ. 2020;18(2):84-92. https://dcmq.com.mx/edici%C3%B3n-abril-junio-2020-volumen-18-n%C3%BAmero-2/782-evaluaci%C3%B3n-de-%C3%A1cido-hialur%C3%B3nico-y-coctel-enzim%C3%A1tico-en-cicatrices-estudio-multic%C3%A9ntrico.html
- Boca AN, López Gehrke I, Lloreda C, et al. Recombinant enzymatic products in Dermatology. Surg Cosmet Dermatol. 2024;16:1-5. https://doi.org/10.5935/scd1984-8773.2024160306 DOI: https://doi.org/10.5935/scd1984-8773.2024160306
- Leung WC, Harvey I. Is skin ageing in the elderly caused by sun exposure or smoking? Br J Dermatol. 2002;147(6):1187-1191. https://doi.org/10.1046/j.1365-2133.2002.04991.x PMID:12452869 DOI: https://doi.org/10.1046/j.1365-2133.2002.04991.x
- Makrantonaki E, Zouboulis CC. William J. Cunliffe Scientific Awards. Characteristics and pathomechanisms of endogenously aged skin. Dermatology. 2007;214(4):352-360. https://doi.org/10.1159/000100890 PMID:17460411 DOI: https://doi.org/10.1159/000100890
- Saavedra AP, Roh EK, Mikailov A. Trastornos pigmentarios. In: eds. Fitzpatrick. Atlas de Dermatología Clínica, 9e. McGraw-Hill Education; 2023. Online https://accessmedicina-mhmedical.com.consultaremota.upb.edu.co/content.aspx?bookid=3362§ionid=279201868 (Accessed April 2025)
- Kurokawa I, Danby FW, Ju Q, et al. New developments in our understanding of acne pathogenesis and treatment. Exp Dermatol. 2009;18(10):821-832. https://doi.org/10.1111/j.1600-0625.2009.00890.x PMID:19555434 DOI: https://doi.org/10.1111/j.1600-0625.2009.00890.x
- Morales N, Aristizábal AM. Cicatrices de acné, un reto terapéutico. Rev Asoc Colomb Dermatol Cir Dermatol. 2013;21(4):328-336. https://doi.org/10.29176/2590843X.252 DOI: https://doi.org/10.29176/2590843X.252
- Jimenez-Acosta F, Planas L, Penneys NS. Lipase expression in human skin. J Dermatol Sci. 1990;1(3):195-200. https://doi.org/10.1016/0923-1811(90)90131-V PMID:2085506 DOI: https://doi.org/10.1016/0923-1811(90)90131-V
- Sekhon BS. Matrix metalloproteinases – an overview. Res Rep Biol. 2010;(1):1-20. DOI: https://doi.org/10.2147/BS.S16120
- Sindelar M, Jilkova J, Kubala L, et al. Hyaluronidases and hyaluronate lyases: from humans to bacteriophages. Colloids Surf B Biointerfaces. 2021;208:112095. https://doi.org/10.1016/j.colsurfb.2021.112095 PMID:34507069 DOI: https://doi.org/10.1016/j.colsurfb.2021.112095
- Xue M, Le NT, Jackson CJ. Targeting matrix metalloproteases to improve cutaneous wound healing. Expert Opin Ther Targets. 2006;10(1):143-155. https://doi.org/10.1517/14728222.10.1.143 PMID:16441234 DOI: https://doi.org/10.1517/14728222.10.1.143




