White Enamel Lesions and Dental Fluorosis. Comparative Cases in the Vesuvian Area
DOI:
https://doi.org/10.33393/ohj.2026.3765Keywords:
Hypomineralization, Fluorosis, Traumatic white lesions, MIH, Professional dentalAbstract
Aim of the study: Evaluation and effectiveness of the diagnosis of enamel defects, differentiation from hypomineralization and enamel fluorosis following exposure to remineralizing molecules.
Materials and methods: Techniques and protocols that had already been tested and proven safe for patients were employed, using minimally invasive approaches without altering the morphology of the dental elements. Patients were guaranteed the predictability of both the bleaching product and the materials (individual laboratory trays), as well as resin infiltrants aimed at filling hypomineralized areas or areas with optical mineralization alterations of the enamel.
Results: The published case reports met clinicians' needs and exceeded patients' expectations following the clinical protocols.
Conclusions: These are innovative techniques that can open new avenues in modern and aesthetic dentistry — increasingly in demand by patients — with a minimally invasive approach well-suited for younger individuals.
INTRODUCTION
Dental fluorosis is an alteration of the enamel that manifests clinically as the appearance of opaque white spots, often striated and bilateral on the surfaces of dental elements.
In more complex cases, yellowish-brown areas also appear, and if the lesions extend to the amelodentinal junction, they lead to loss of enamel substance with an increased risk of fracture. This condition negatively affects both social and functional quality of life (1). Fluoride is an important agent in the prevention of carious disease, but it has been known for years that excessive fluoride intake during early childhood can lead to the onset of fluorosis. Fluorosis is a disease that affects many inhabitants of the Vesuvian area of Naples. It is caused by chronic fluoride intoxication — an element naturally present in water and soil. Fluorosis affects bones and teeth, and to this day still involves 80% of school-age children. In this characteristic phase of children aged 6–8 years, when the deciduous dentition is replaced by the permanent one, prolonged fluoride ingestion can cause poor enamel mineralization, resulting in defective enamel.
A recent scientific study conducted by the CNR (National Research Council) and the University Federico II of Naples revealed that the inhabitants of Herculaneum had already been suffering from skeletal fluorosis in antiquity. This remarkable discovery was made through a multidisciplinary investigation examining numerous skeletal remains approximately 2,000 years old. Researchers from the Institute for Composite and Biomedical Materials of the National Research Council in Portici (IMCB-CNR) and the University Federico II of Naples, examining Roman-era bones, were able to demonstrate how this metabolic disease of bone and joints is endemic to the Vesuvian area. The study, published in the journal PLoS ONE, was coordinated by the Museum of Anthropology at Federico II, with Michele Giordano of IMCB-CNR, and by the Department of Structural and Functional Biology of the University.
At the root of this disabling disease — which affects tens of millions of people, particularly in Africa, India, and China — according to the researchers, lies the naturally high concentration of fluoride in water and soil, typical of volcanic areas.
The research identifies and describes the characteristics of fluorosis in victims of the eruption of 79 AD, after reviewing 76 skeletons belonging to a population ranging in age from 0 to 52 years. "From the examination of morphological, radiological, histological, chemical, skeletal, and dental characteristics, a significant increase in fluoride concentration with age was observed, along with a correlated degree of lesion in the vertebral column and other joint areas," explains Michele Giordano of IMCB-CNR (2).
The highest fluoride values — greater than 9,000 ppm — are observed in adults over 40 years of age, who reveal a very severe, paralysing pathological phase, similar to that still observed in endemic regions (2). These levels are still present and active today, as shown by clinical-epidemiological tests on a sample of school-age children in Vesuvian municipalities, "which revealed 80% dental fluorosis and clinical characteristics of epidemic proportions, including joint pain, skin diseases, hyperthyroidism, and blood fluoride content exceeding the maximum values recommended by the World Health Organization." The comparison, therefore, shows a permanent risk for Vesuvian populations — not always properly evaluated, also because the initial stages of the disease are poorly diagnosed (2).
Fig. 1.
The first diagnoses of fluorosis were made in North America by Dr. Dean in 1942, who described an initial broad classification ranging from questionable, mild, moderate to severe. Subsequently, new classifications emerged: in 1984, The Tooth Surface Index of Fluorosis (TSIF), from grade 0 to grade 7, up to the most detailed and currently used classification of 2010 by Thylstrup & Fejerskov (TF Index), from grade 0 to grade 9 (Fig. 1) (3, 4). Currently, in some countries, water fluoridation is permitted to reduce the incidence of caries in the population, but concentrations greater than 1.5 mg/l tend to create a risk of dental fluorosis, and at higher concentrations tend to extend to skeletal tissue.
This is because enamel originates from the protein matrix secreted by ameloblasts; the latter absorb ions from the extracellular matrix, and the types of ions depend on what is available in the plasma at that moment.Those who reside in the aforementioned areas, in addition to the scenery and abundant local vegetables and fruits, enjoy superlative wines thanks to the fertile substances present on Mount Vesuvius (Vesbius, Vesvius, Vesuvius, Ves) — meaning "Height." This volcano, while among the most destructive in the world, releases large quantities of fluoride into water and soil, causing a problem such as dental fluorosis of varying degrees.
CASE REPORT
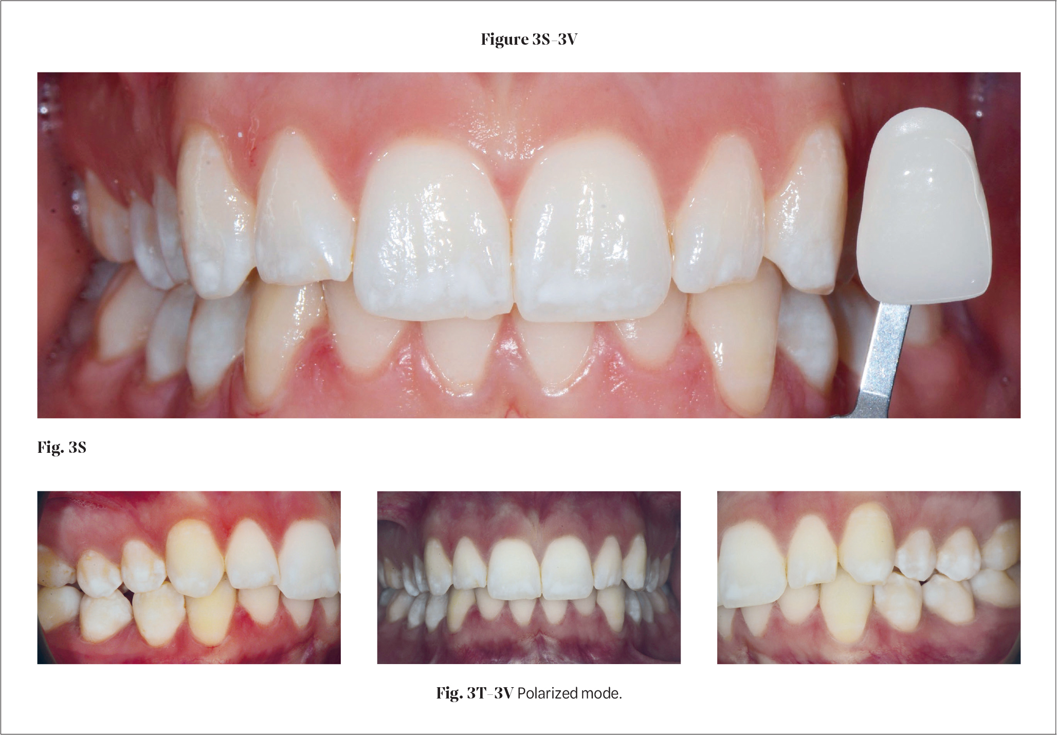
Following careful diagnosis and medical history, patient B., who resided in Herculaneum (Vesuvian area), presents fluorosis stains classified according to the Thylstrup & Fejerskov classification as TF2 (smooth, opaque lines present; intact enamel but pronounced at the perikymata; occasionally confluent adjacent lines; on occlusal surfaces, scattered areas of opacity <2 mm and marked opacity on cusp ridges). The female patient, aged 19, had never taken fluoride-based supplements. She lived in Herculaneum, Naples (Vesuvian area) until the age of 17. She had never consumed local water, nor ingested fluoride toothpastes or supplements during childhood. She expressed a strong desire to correct a significant aesthetic concern given her age, having explored various solutions — including the use of highly abrasive whitening toothpastes — before consulting us (Fig. 2). The procedure carried out in these case reports, in addition to an evaluation of the smile line (whose exposure was >3 mm of teeth and gingiva, thus classified as a Gummy Smile (5)), was the only safe and minimally invasive procedure available and was developed in several phases.
First Phase
Oral hygiene session with GBT (Guided Biofilm Therapy) protocol and instructions for home oral hygiene practices (6, 7).
Second Phase
Impression taking using a digital system for the fabrication of reservoir-free trays with hermetic closure at the gingival margin, according to the modified bevel technique of impression models (8).
Third Phase
At-home bleaching with carbamide peroxide (CP HOME+, Blancone, IDS S.p.a., Italy) at 12%, for 8 hours per day, at night, for 14 nights (Fig. 3) (9-12). This preparatory step allows for an increase in tooth value across the three dimensions of colour and enables an initial camouflage of the existing stains.
Fourth Phase
One week later, the procedure was performed according to the protocol using resin infiltrants (DMG ICON, DMG Chemisch-Pharmazeutische, Germany), specifically aimed at arresting caries in posterior sectors.
The protocol was carried out as follows:
- Microabrasion with sodium bicarbonate-based Airflow and/or with silicon carbide and hydrochloric acid;
- Application of 15% hydrochloric acid for chemical and selective erosion of the enamel only on the stains to be treated (Fig. 4);
- Alcoholization with 90% ethyl alcohol of the surfaces for provisional assessment of stain removal; this erosion-to-alcoholization step is repeated until the fluorosis stains are no longer visible to the naked eye (Fig. 4a);
- Resin infiltration and 3-minute polymerization with a curing lamp (3M Elipar, 3M Italia Srl, Italy); followed by a second resin application and 1-minute polymerization with glycine gel to promote polymerization of the surface layer most exposed to oxygen (Fig. 5) (13 -16).
At the end, a finishing and polishing phase is performed using Arkansas burs and composite cups at low speed.
White Lesions
Traumatic white enamel lesions are quite different from Traumatic white enamel lesions are quite different from fluorosis stains. In childhood, these lesions are currently considered a public health problem because they can have serious medical, aesthetic, and psychological consequences. Children in the first months of life are subject to dental trauma, especially when learning to walk; various studies confirm a prevalence of between 4% and 33% (17).
Unlike other conditions such as dental fluorosis or MIH (Molar Incisor Hypomineralization) (18, 19), traumatically induced defects always affect permanent elements, though only individual or adjacent ones. This occurs precisely because the traumatic event that generated the injury is generally isolated and involved one or two dental elements. These lesions are generally recognizable by the presence of an isolated white spot at the incisal third of the crown of a permanent tooth, representing the consequence of the interference created by the primary tooth on the enamel formation process of the permanent tooth itself. The suspicion that the lesion may be of traumatic origin leads the clinician to interview both the patient and the parents during the anamnesis, when possible.
The presence of enamel defects in the aesthetic area can be a source of distress for many patients; therefore, the clinician's choice of the most appropriate treatment must be correlated with the execution of a correct diagnosis, distinguishing these from lesions located directly beneath the enamel surface (traumatic lesion), or from a surface layer with a relatively high mineral content (fluorosis), or — lastly — from lesions where the nature of the surface layer is unknown or variable (MIH) (20, 21).
The white lesion is the result of a complex optical phenomenon, where an optical labyrinth formed within the lesion contributes to the absorption and reflection of incident light in a distorted manner, resulting in the anomalous colour. Infiltration of the pores of the lesions with resin infiltrant (DMG ICON, DMG Chemisch-Pharmazeutische, Germany), having a refractive index of 1.52 — very close to that of healthy enamel (1.62) — improves photon transmission during absorption, scattering, and refraction phases, restoring enamel translucency (21).
The technique employed is always the same as previously described for fluorosis stains, using the DMG ICON protocol (DMG Chemisch-Pharmazeutische, Germany). In this way, enamel lesions can be resolved quickly and safely, even though remineralizing compounds such as modified hydroxyapatite, CPP-ACP, etc., can only penetrate the first portion of the enamel — approximately 10–15 microns in depth. A recent study by Mastroberardino et al. (22) proposed a long-term treatment modality involving home application of CPP-ACP reservoir trays prior to bleaching. This protocol involves a period of 2–3 months alternated with a carbamide peroxide-based bleaching agent CP 12% and CPP-ACP. This protocol finds its utility where severe diffuse hypomineralizations are present, without resorting to infiltration techniques (22).
Case Report II
The second case report (Fig. 6) — but the first in order of traumatic white lesions — involves patient N., aged 22, who did not reside in volcanic areas and had not taken fluoride-based supplements or other products during childhood. The parents reported a clinical history concerning a primary incisor (5.1) traumatized by a fall during childhood. The patient, years later, had evaluated this small lesion on the permanent tooth 1.1 using personal devices (self-portrait photographs), bringing to our attention photos taken at various times of day and from various angles. The diagnosis indicated the presence of a traumatic white lesion. At the patient's request, no remineralization protocol as indicated by Mastroberardino et al. was performed. The protocol as described for dental fluorosis was therefore applied (Fig. 7).
Case Report III
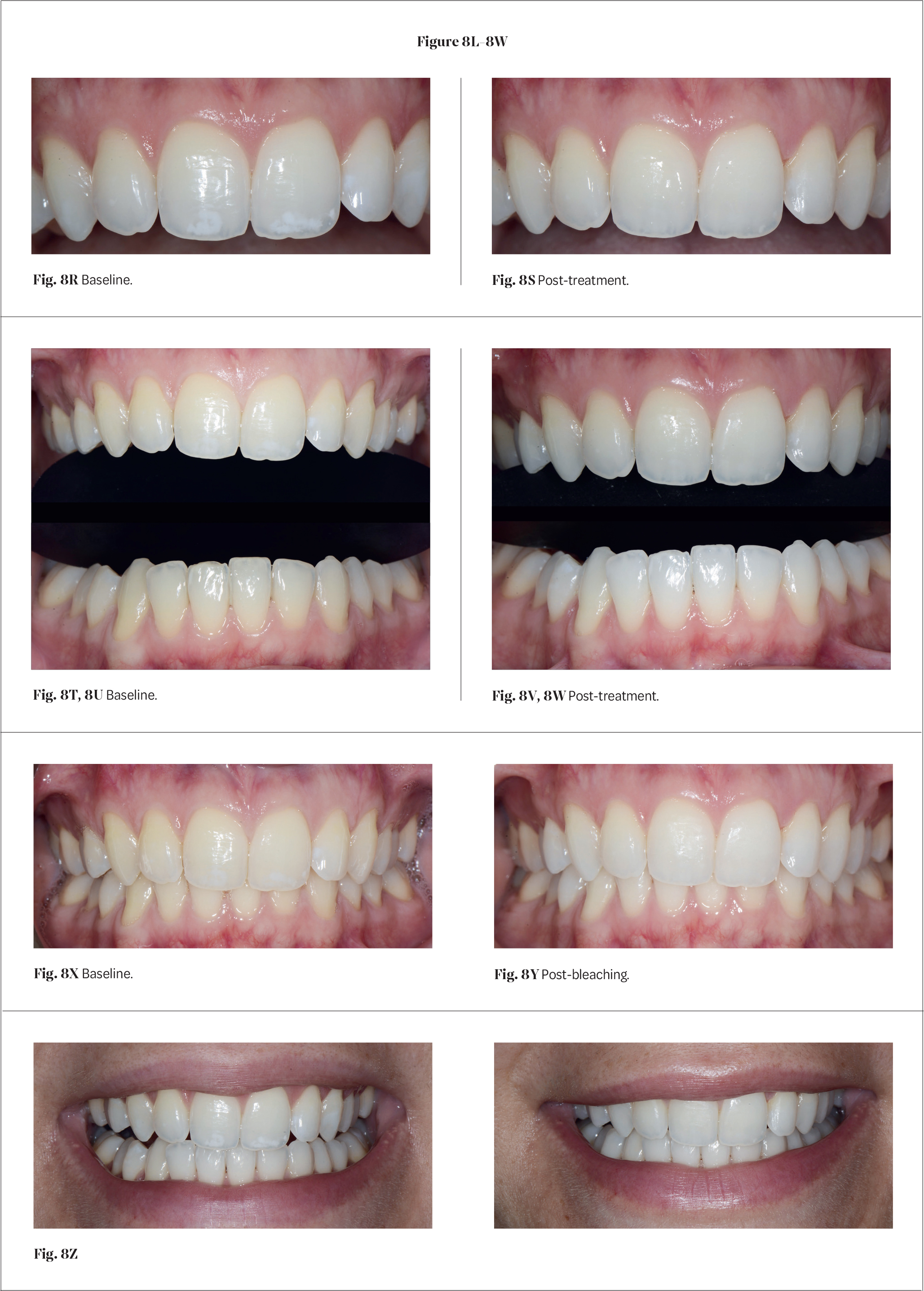
The third case report (Fig. 8) — but the second in order of traumatic white lesions — involves patient C., aged 30. The individual did not come from volcanic areas and had never taken fluoride-based supplements or other products during childhood. Following careful anamnesis, the patient did not recall ever having experienced trauma to the primary teeth or subsequently. Additionally, the parents reported several traumas to the mouth during the crawling phase of early childhood. The patient came to the practice wishing to undergo professional dental bleaching; following the visit and assessment confirming the absence of caries and gingival disease, she was advised — after the aesthetic treatment (bleaching) — to undergo the infiltration technique using the DMG ICON protocol (DMG Chemisch-Pharmazeutische, Germany). In this case as well, the steps detailed in the previous case reports were adopted, which can be summarised as follows:
- Phase 1: Bleaching
- Phase 2: Microabrasion
- Phase 3: Infiltration (23)
The use of the described resin infiltration technique allows the patient to undergo future maintenance bleaching treatments. In all three cases, a bleaching product was used (CP HOME+, Blancone, IDS S.p.a., Italy) with a carbamide peroxide (CP) excipient, enriched with Vitamin K, Vitamin D, and nano-hydroxyapatite. This mineral, upon contact with the hydroxyl groups released during the bleaching reaction, promotes the reconstitution of hydroxyapatite crystals and the regenerated layer, which at the topographic level appears revitalized and desensitized (24).
Other information
Corresponding authors: Aldo Mazzella | email: dott.aldomazzella@fastwebnet.it
References
- Emiliani F, Turrini R. Black & White: Multidisciplinary clinical protocols in cariology, bleaching and treatment of dental discolorations. 2023. Edra.
- Fluorosi a Ercolano, Un Problema Vecchio Di 2000 Anni | Consiglio Nazionale Delle Ricerche. www.cnr.it/en/press-release/5200/fluorosi-a-ercolano. Accessed 7 Mar. 2024.
- Horowitz HS, Driscoll WS, Meyers RJ, Heifetz SB, Kingman A. A new method for assessing the prevalence of dental fluorosis — the Tooth Surface Index of Fluorosis. J Am Dent Assoc. 1984 Jul;109(1):37-41. doi: 10.14219/jada.archive.1984.0268. PMID: 6611361.
- Adelário AK, Vilas-Novas LF, Castilho LS, Vargas AM, Ferreira EF, Abreu MH. Accuracy of the simplified Thylstrup & Fejerskov index in rural communities with endemic fluorosis. Int J Environ Res Public Health. 2010 Mar;7(3):927-37. doi: 10.3390/ijerph7030927. PMID: 20617010; PMCID: PMC2872308.
- Dym H, Pierre R 2nd. Diagnosis and Treatment Approaches to a "Gummy Smile." Dent Clin North Am. 2020 Apr;64(2):341-349. doi: 10.1016/j.cden.2019.12.003. PMID: 32111273.
- Shrivastava D, Natoli V, Srivastava KC, et al. Novel Approach to Dental Biofilm Management through Guided Biofilm Therapy (GBT): A Review. Microorganisms. 2021 Sep 16;9(9):1966. doi: 10.3390/microorganisms9091966. PMID: 34576863.
- Sanz M, Herrera D, Kebschull M, et al. Treatment of stage I-III periodontitis — The EFP S3 level clinical practice guideline. J Clin Periodontol. 2020 Jul;47 Suppl 22:4-60. doi: 10.1111/jcpe.13290. PMID: 32383274.
- Cogo E, Sibilla P, Turrini R, Marcuzzi F, Calura G. Realizzare le mascherine per gli sbiancamenti domiciliari: la tecnica MO.BI. Dental Cadmos. 2013;81(9):593-600.
- Mounika A, Mandava J, Roopesh B, Karri G. Clinical evaluation of color change and tooth sensitivity with in-office and home bleaching treatments. Indian J Dent Res. 2018 Jul-Aug;29(4):423-427. doi: 10.4103/ijdr.IJDR_688_16. PMID: 30127190.
- Haywood VB, Sword RJ. Tray bleaching status and insights. J Esthet Restor Dent. 2021 Jan;33(1):27-38. doi: 10.1111/jerd.12688. PMID: 33277968.
- Maran BM, Vochikovski L, de Andrade Hortkoff DR, et al. Tooth sensitivity with a desensitizing-containing at-home bleaching gel — a randomized triple-blind clinical trial. J Dent. 2018 May;72:64-70. doi: 10.1016/j.jdent.2018.03.006. PMID: 29551346.
- Rodrigues JL, Rocha PS, Pardim SLS, et al. Association Between In-Office And At-Home Tooth Bleaching: A Single Blind Randomized Clinical Trial. Braz Dent J. 2018 Mar-Apr;29(2):133-139. doi: 10.1590/0103-6440201801726. PMID: 29898058.
- Kannan A, Padmanabhan S. Comparative evaluation of Icon® resin infiltration and Clinpro™ XT varnish on colour and fluorescence changes of white spot lesions: a randomized controlled trial. Prog Orthod. 2019 Jun 17;20(1):23. doi: 10.1186/s40510-019-0276-y. PMID: 31204437.
- Gençer MDG, Kirzioğlu Z. A comparison of the effectiveness of resin infiltration and microabrasion treatments applied to developmental enamel defects in color masking. Dent Mater J. 2019 Mar 31;38(2):295-302. doi: 10.4012/dmj.2018-074. PMID: 30713284.
- Gözetici B, Öztürk-Bozkurt F, Toz-Akalın T. Comparative Evaluation of Resin Infiltration and Remineralisation of Noncavitated Smooth Surface Caries Lesions: 6-month Results. Oral Health Prev Dent. 2019;17(2):99-106. doi: 10.3290/j.ohpd.a42203. PMID: 30874252.
- Zotti F, Albertini L, Tomizioli N, Capocasale G, Albanese M. Resin Infiltration in Dental Fluorosis Treatment — 1-Year Follow-Up. Medicina (Kaunas). 2020 Dec 29;57(1):22. doi: 10.3390/medicina57010022. PMID: 33383755.
- Farooq I, Bugshan A. The role of salivary contents and modern technologies in the remineralization of dental enamel: a narrative review. F1000Res. 2020 Mar 9;9:171. doi: 10.12688/f1000research.22499.3. PMID: 32201577; PMCID: PMC7076334.
- Goel N, Jha S, Bhol S, et al. Molar Incisor Hypomineralization: Clinical Characteristics with Special Emphasis on Etiological Criteria. J Pharm Bioallied Sci. 2021 Jun;13(Suppl 1):S651-S655. doi: 10.4103/jpbs.JPBS_801_20. PMID: 34447173.
- Lygidakis NA, Garot E, Somani C, et al. Best clinical practice guidance for clinicians dealing with children presenting with molar-incisor-hypomineralisation (MIH): an updated European Academy of Paediatric Dentistry policy document. Eur Arch Paediatr Dent. 2022 Feb;23(1):3-21. doi: 10.1007/s40368-021-00668-5. PMID: 34669177.
- Denis M, Atlan A, Vennat E, Tirlet G, Attal JP. White defects on enamel: diagnosis and anatomopathology: two essential factors for proper treatment (part 1). Int Orthod. 2013 Jun;11(2):139-65. doi: 10.1016/j.ortho.2013.02.014. PMID: 23597715.
- Bandeira Lopes L, Machado V, Botelho J, Haubek D. Molar-incisor hypomineralization: an umbrella review. Acta Odontol Scand. 2021 Jul;79(5):359-369. doi: 10.1080/00016357.2020.1863461. PMID: 33524270.
- Mastroberardino S, Campus G, Strohmenger L, Villa A, Cagetti MG. An Innovative Approach to Treat Incisors Hypomineralization (MIH): A Combined Use of Casein Phosphopeptide-Amorphous Calcium Phosphate and Hydrogen Peroxide — A Case Report. Case Rep Dent. 2012;2012:379593. doi: 10.1155/2012/379593. PMID: 23243519.
- Doméjean S, Ducamp R, Léger S, Holmgren C. Resin infiltration of non-cavitated caries lesions: a systematic review. Med Princ Pract. 2015;24(3):216-21. doi: 10.1159/000371709. PMID: 25661012; PMCID: PMC5588225.
- Eimar H, Marelli B, Nazhat SN, et al. The role of enamel crystallography on tooth shade. J Dent. 2011 Dec;39 Suppl 3:e3-10. doi: 10.1016/j.jdent.2011.11.008. PMID: 22101119.


