![]() |
AboutOpen | 2019; 5(1); 2–4
CASE REPORT |
![]() |
Radioterapia palliativa-emostatica nel carcinoma vescicale: due case reports
Palliative radiotherapy for hemostasis in bladder cancer: two case reports
Introduction: Palliative radiotherapy is very effective for symptoms control and it improves the quality of life of patients with neoplasia at any stage of the disease. The 5% of palliative radiotherapy treatments are carried out for hemostatic purposes and this approach is particularly useful in certain diseases. In fact in bladder cancer this treatment is able to control bleeding in more than 90% of cases.
Case description: We report two cases of old patients with urothelial carcinoma and macrohematuria, initially treated, for the first time, with 20 Gy on the whole bladder obtaining completely resolution of hematuria. After wards, for new hematuria appearance, the patients were treated again with 15 Gy targeted on the progression region, obtaining resolution of bleeding again.
Conclusions: Although a hemostatic approach does not give lasting results over time, a reprocessing should be considered due to the improvement in the quality of life that it may entail.
Keywords: Bladder cancer, Hemostatic radiotherapy, Macrohematuria, Box technique, Palliative care
Received: November 15, 2018
Accepted: December 27, 2018
Published online: January 28, 2019
© 2019 The Authors. This article is published by AboutScience and licensed under Creative Commons Attribution-NonCommercial 4.0 International (CC BY-NC-ND 4.0). Any commercial use is not permitted and is subject to Publisher’s permissions. Full information is available at www.aboutscience.eu.
Introduzione
Lo scopo di un trattamento palliativo è quello di migliorare la qualità di vita (QoL) mediante il controllo dei sintomi causati dalla malattia. La radioterapia è un trattamento molto efficace nel controllare i sintomi e nel migliorare la QoL dei pazienti con neoplasia in qualsiasi fase della patologia.
A inizio 2017 il Gruppo di Lavoro AIRO (Associazione Italiana Radioterapia Oncologica) “Cure palliative e terapie di supporto” ha riportato il dato di due censimenti dedicati all’argomento rilevando che fino al 40-50% dei trattamenti radioterapici, in Italia, vengono effettuati con finalità palliative (1).
L’impiego della radioterapia palliativa è rivolto nel 50% dei casi al trattamento di metastasi ossee, nel 23% dei casi viene impiegata per il trattamento di metastasi cerebrali, nel 15% di masse mediastiniche, nel 7% di metastasi viscerali e nel 5% a scopo emostatico (2).
In presenza di sanguinamento legato a patologia neoplastica, la radioterapia può essere presa in considerazione nel caso di lesioni a livello polmonare con emoftoe, perdite ematiche vaginali, rettali e vescicali. Un trattamento radiante esterno (external beam radiotherapy - EBRT) è in grado di controllare il sanguinamento in più dell’85% dei casi di emottisi causata da un tumore del polmone, in più dell’85% dei casi di sanguinamento rettale e dal 65% al 90% dei casi di sanguinamento vescicale (2).
La quasi totalità dei pazienti sottoposti a radioterapia palliativa presenta un rapido miglioramento clinico, in certi casi già durante le cure, in altri casi subito al termine o qualche giorno dopo la fine della terapia stessa. Qualsiasi trattamento palliativo richiede un numero di sedute ridotte, come, per esempio, quattro o cinque giorni di trattamento a settimana o in alcuni casi si completa in una singola seduta giornaliera. Questa modalita aumenta la compliance del paziente, permette un rapido risultato e ne riduce i possibili effetti collaterali (2).
Tumori vescicali ed ematuria
In Europa il carcinoma della vescica è la quarta neoplasia più frequente tra la popolazione maschile, con una percentuale del 7% tra tutti i tumori. Il tasso di incidenza annua è di 32/100.000 per gli uomini e 9/100.000 per le donne (3).
Studi condotti dal National Cancer Institute hanno dimostrato che i carcinomi della vescica riguardano soprattutto gli uomini e le donne dopo i quarant’anni di età. L’istotipo a cellule transizionali è quello più rappresentato nel 90-95% dei casi; esso può insorgere in ogni punto lungo il tratto urinario dalla pelvi renale (incidenza 8%), ureteri (incidenza 1%), vescica (incidenza 90%) fino ai prossimali due terzi dell’uretra (incidenza 1%) (4). Approssimativamente il 70% dei tumori vescicali ha aspetto papillare esofitico protundente nel lume con tendenza alla friabilità e quindi un’alta propensione al sanguinamento (4).
Il carcinoma della vescica normalmente non presenta sintomi facilmente riconoscibili.
In generale l’unico primo segno apprezzabile è rappresentato dalla presenza di perdita di sangue con le urine (ematuria). L’ematuria sia microscopica ma soprattutto quella macroscopica è sempre un segno clinico che merita attenzione, in quanto alla base vi potrebbe essere una patologia neoplastica, quindi il primo obiettivo nella diagnostica deve essere quello escludente.
Si parla più propriamente di ematuria “totale” quando tutte le urine emesse risultano ematiche per cui il sanguinamento è a carico della vescica o delle alte vie urinarie. Purtroppo tale fenomeno, soprattutto all’inizio se non abbondante, non sempre è visibile a occhio nudo e ciò può far ritardare la diagnosi; inoltre spesso la stessa intermittenza del sanguinamento pone difficile diagnosi differenziale con una semplice, ben più comune, banale infezione del tratto urinario, una malattia renale, calcolosi o problemi connessi con la prostata stessa.
Manifestazioni visibili, frequentemente associate alla comparsa di ematuria totale, sono la formazione di coaguli, in seguito ad ematuria; la sensazione di bruciore alla vescica quando si comprime l’addome; la difficoltà e il dolore a urinare; la maggior facilità a contrarre infezioni.
Con la progressione della malattia neoplastica questi disturbi possono diventare importanti; le linee guida prevedono l’ospedalizzazione in caso di macroematuria, posizionamento di catetere a permanenza a doppia via per impedire l’ostruzione delle vie urinarie da parte dei coaguli ematici e una corretta terapia emostatica con acido tranexamico e.v. (5). Nei casi più gravi con ingente e/o ripetuta perdita ematica, in assenza di emostasi si possono rendere necessarie trasfusioni ematiche, tutto ciò altera la qualità della vita del paziente stesso e contribuisce negativamente sull’asse sanitario.
Il sanguinamento è una complicanza che si verifica in quasi tutti i pazienti neoplastici in stadio di malattia vescicale avanzata, in questi casi la radioterapia riveste un ruolo importante nel controllarlo. In genere vengono utilizzati fotoni X con energie ≥ 6 Mv che agiscono, prevalentemente, inducendo alterazione della tonaca intima, dei vasi sanguigni tumorali, con conseguente necrosi capillare, attivazione piastrinica e trombizzazione degli stessi vasi (6). Il risultato è l‘emostasi indotta in breve tempo.
Dosi singole monosettimanali (6-8 Gy per 2-3 settimane) o concentrate in poche sedute consecutive (4 Gy per 5 frazioni), consentono un controllo dell’emoftoe nell’80% dei pazienti con neoplasia polmonare (7) e risultati paragonabili si ottengono nel sanguinamento causato da neoplasie vescicali o rettali o in casi di tumori ginecologici (8). Trattandosi di dosi palliative inevitabilmente a varia distanza temporale vi è la riacutizzazione del quadro clinico.
Casi clinici
Si riportano i casi clinici di due pazienti, due donne di età avanzata, giunte alla nostra attenzione a inizio 2017 con diagnosi di carcinomi uroteliali multifocali vegetanti, entrambi in stadio avanzato (stadio quarto della classificazione TNM) per la presenza di secondarismi polmonari plurimi. Entrambe le pazienti, in scadute condizioni cliniche generali, in considerazione del sanguinamento urinario macroscopico venivano inviate alla nostra attenzione per valutare un ciclo di radioterapia pelvica emostatica.
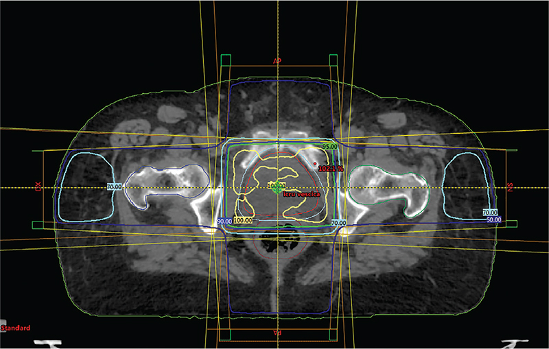
Il trattamento primario, previa TC di centratura, ha previsto l’irradiazione dell’intera vescica utilizzando fotoni X6 Mv da acceleratore lineare e tecnica box 3D conformazionale (9); sono stati erogati 20 Gy in 5 frazioni giornaliere ognuna di 4 Gy.
Dalle immagini sottostanti si evince come con la tecnica box, utilizzando cioè quattro fasci di fotoni con angoli di entrata ortogonali tra di loro e sistema di conformazione dello stesso fascio con utilizzo di un sistema multilamellare, posto sulla testata dell’acceleratore lineare, si abbia una notevole copertura con il massimo della dose voluta del target, in questo caso dell’intera vescica. Dalle immagini (Fig. 1 e 2) viene mostrata la riproduzione di un classico piano di trattamento rispettivamente in visione assiale e coronale utilizzando tale tecnica.
Il trattamento si è svolto regolarmente, senza necessità di interruzioni e le pazienti, già a fine cura, riferivano entrambe un miglioramento dell’ematuria; al successivo controllo clinico, al decimo giorno dalla fine delle cure, entrambe riferivano completa risoluzione dell’ematuria già da diversi giorni. Non veniva segnalata ulteriore sintomatologia associata.
Le successive rivalutazioni strumentali TC confermavano la sostanziale stabilità primitiva a livello pelvico con progressione di malattia a livello sistemico.
Entrambe le pazienti ritornavano alla nostra attenzione entro la fine dello stesso anno con nuova rivalutazione strumentale TC che evidenziava aumento dimensionale della massa vegetante vescicale maggiore e riduzione delle lesioni satelliti. L’ematuria frattanto era tornata copiosa.
In entrambe le pazienti si è proceduto a una seconda irradiazione pelvica che prevedeva a differenza del primo caso, ossia della irradiazione di tutta la vescica, la sola irradiazione parziale della stessa, ossia la sola porzione vescicale sede della massa in crescita e non responder, utilizzando sempre fotoni X6 Mv da acceleratore lineare, tramite tecnica box 3D conformazionale. In questo secondo trattamento sono stati erogati 15 Gy in 5 frazioni monogiornaliere ognuna di 3 Gy.
Anche questo secondo trattamento si è svolto regolarmente, senza necessità di interruzioni ed entrambe le pazienti, già a fine cura, riferivano miglioramento dell’ematuria. Nei giorni successivi i familiari ci informavano della risoluzione dell’ematuria pressoché completa. La variazione di dose tra primo e secondo trattamento è da ascriversi alla finalità esclusivamente palliativa del trattamento in rapporto ai constraints di dose agli organi a rischio, specialmente intestino tenue.
Il quadro è rimasto invariato ancora per alcuni mesi fino all’exitus di entrambe le pazienti.
Conclusioni
La radioterapia è sempre stata sostenuta dall’evoluzione tecnologica; le apparecchiature per la produzione di radiazioni, i software per la TC di centratura, per il contouring e per l’elaborazione dei piani di trattamento e la gestione dell’imaging radiologico sono diventati sempre più complessi nel corso degli anni.
Attualmente, le moderne tecnologie disponibili consentono di somministrare la dose terapeutica di radiazioni sul bersaglio voluto riducendo al minimo la dose ai tessuti sani circostanti.
Parimenti all’evoluzione tecnologica sono in corso nuovi studi di ritrattamenti altrimenti prima impossibili.
L’effetto emostatico dopo radioterapia a dosi palliative non tende sempre ad essere duraturo a lungo termine. Al ripresentarsi del sintomo è doveroso oggi con le nuove tecnologie rivalutare la fattibilità di un nuovo trattamento.
Si è dimostrato come un nuovo ciclo di radioterapia abbia arrestato per la seconda volta l’ematuria permettendo alle pazienti il miglioramento e il mantenimento della QoL e nel contempo evitando loro terapie infusive.
Disclosures
Financial support: No financial support was received for this submission.
Conflict of interest: The authors have no conflict of interest.
Bibliografia
- 1. Gruppo di lavoro AIRO. Carta dei servizi della radioterapia palliativa in Italia. I ed, Febbraio 2017, pag 10. https://www.radioterapiaitalia.it/wp-content/uploads/2017/10/Carta-Servizi-Palliazione_Deliverable_1.0-1.pdf
- 2. Greco C, Trodella L. La gestione del sintomo con la radioterapia. Medic. 2014; 22(1): 43–52.
- 3. Ferlay J, Bray F, Pisani P, Parkin DM. Cancer incidence, mortality and prevalence worldwide. Version 1.0. IARC Press. IARC Cancer Base 2001: 5.
- 4. De Vita V, Hellman S, Rosenberg SA. Cancer: Principles & Practice of Oncology. 6th edition (July 2001) Lippincott Williams & Wilkins:1396–415.
- 5. Galosi AB. Urological and Andrological disease in Emergency Room. 2017. https://doi.org/10.13140/rg.2.2.11837.26080
- 6. Chaw CL, Niblock PG, Chaw CS, Adamson DJ. The role of palliative radiotherapy for haemostasis in unresectable gastric cancer: a single-institution experience. Ecancermedicalscience. 2014;8:384.
- 7. Sundstrom S, Bremnes R, Aasebo U, et al. Hypofractionated palliative radiotherapy (17 Gy per two fractions) in advanced non-small cell lung carcinoma is comparable to standard fractionation for symptom control and survival: a national phase III trial. J Clin Oncol. 2004;22(5):801–10.
- 8. Srinivasan V, Brown CH, Turner AG. A comparison of two radiotherapy regimens for the treatment of symptoms from advanced bladder cancer. Clin Oncol (R Coll Radiol). 1994;6(1):11–3.
- 9. Bednaruk-Młynski E1, Senkus-Konefka E, Szewczyk P, Badzio A, Jassem J. Parallel-opposed fields vs. four fields, and two- (2D) vs. three-dimensional (3D) radiotherapy planning in thin patients with gynecological malignancies. Rep Pract Oncol Radiother. 2003; 8 (Suppl 2):S242.

